Gold Pro-Profil

Dr. med. dent. Kai Zwanzig

Zahnarzt · Mehr

Bielefeld 1 Adresse

122 Bewertungen

Über mich

Bielefeld ist meine Heimat. Ich bin hier zur Schule gegangen, war zum Studium kurz in Münster, für meinen Facharzt kurz an der Nordsee und arbeite nun auch schon fast 20 Jahre in der eigenen Praxis hier in der freundlichen Stadt am Teutoburger Wald. Meinen Beruf betrachte ich nicht als Beruf, sondern als Berufung. Die Zahnmedizin ist meine großen Leidenschaft, und ich behandle jeden Patienten so, als würde ich oder meine Familie auf dem Stuhl liegen. Der Patient steht bei uns immer im Mittelpunkt. Mein Team und ich versuchen versuchen täglich, perfekte Behandlungsergebnisse abzuliefern, damit Lächeln eine Freude ist und jedes noch so komplizierte funktionelle Problem gelöst wird. So verstehe ich meinen "Beruf", der ein hohes Mass an Verantwortung mit sich bringt, wenn Patienten sich vertrauensvoll in unsere Hände begeben  

mehr Über mich

Weiterbildungen und Tätigkeitsschwerpunkte

  • Oralchirurgie
  • Parodontologie
  • Implantologie
  • Ästhetische Zahnmedizin

Konsultationsformate

Fotos und Videos

Logo
Dr. med. dent. Kai Zwanzig

Mauerstr. 8, 33602 Bielefeld

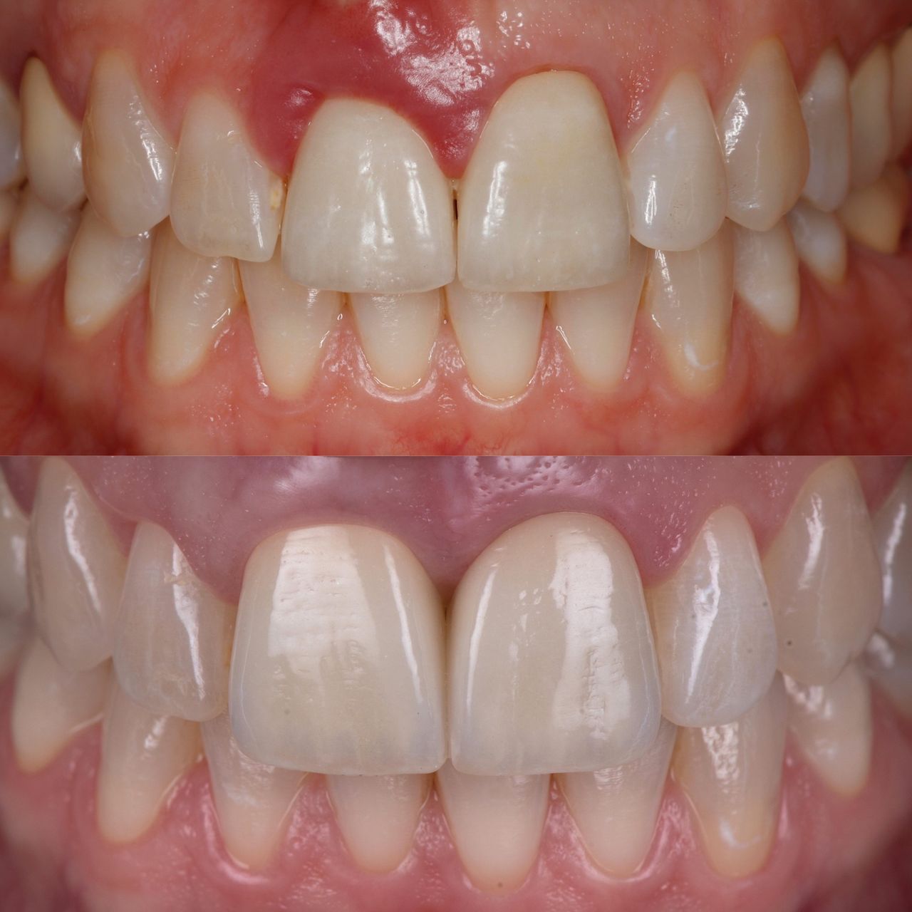
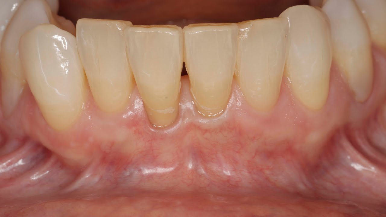
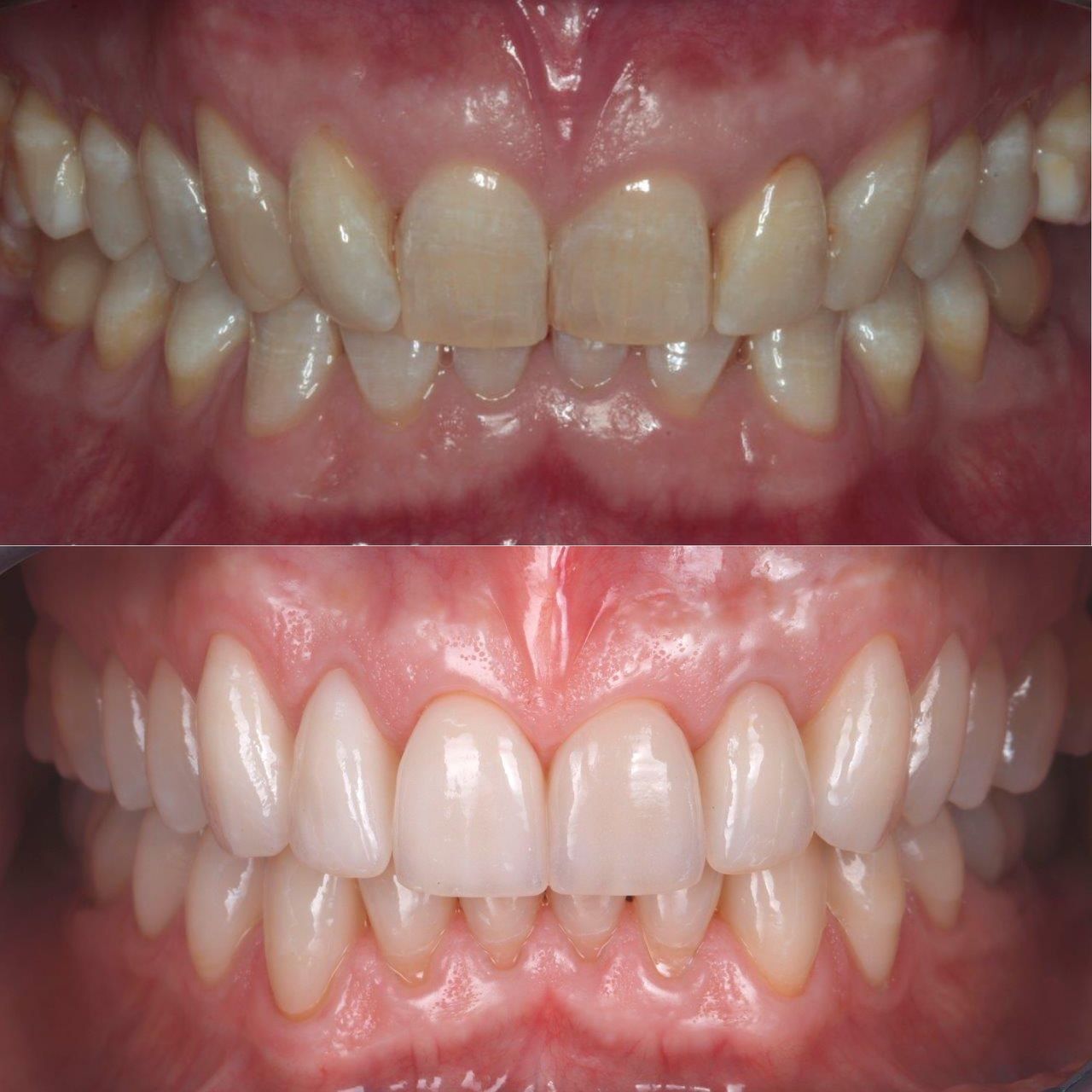
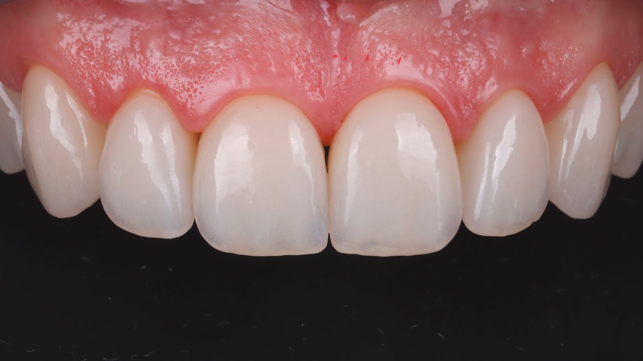
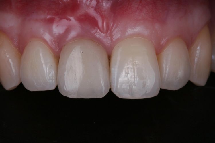
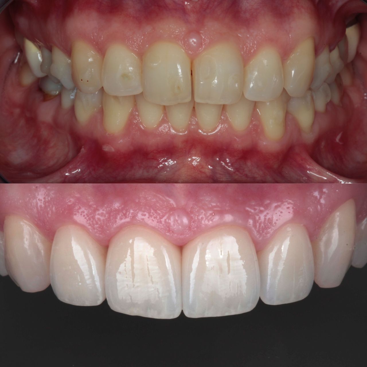
Als Rezession bezeichnet man den Zahnfleischrückgang bei Zähnen, der oft an der Aussenseite der Oberkieferfrontzähne zu beobachten ist, natürlich aber auch jeden anderen Zahn betreffen kann. Wie kommt das zustande?
- Fehlgeschlagene kieferorthopädische Behandlung, wenn die Zähne zu weit ausserhalb der knöchernen Kontur stehen
- in seltenen Fällen durch unsachgemässes Zähneputzen
- Bei Patienten mit dünnem Biotypen, wenn also ausreichend kollagene Fasern im Zahnfleisch fehlen
- Unsachgemäss angefertigte Füllungen oder Kronen durch den Zahnarzt

Ein solches Geschehen darf nicht mit einer Parodontitis verwechselt werden, da dort ganz andere Mechanismen wirken. Die Folge solcher Rezessionen können stark empfindliche Wurzeloberflächen sein, die auch kariesanfälliger sind, als der Zahnschmelz. In vielen Fällen lassen sich diese Rezessionen gut behandeln, indem man die Rezession wieder mit Zahnfleisch abdeckt. Es gibt nicht viele Zahnärzte, die solche Eingriffe beherrschen, deshalb empfiehlt sich die Behandlung bei einem Spezialisten. Meist wird etwas Bindegewebe vom Gaumen entnommen und auf die freiliegende Wurzel transplantiert. Das Zahnfleisch auf der Aussenseite wird dann zum Schutz darüber gezogen. In einigen Fällen lässt sich das auch hervorragend mit Fremdmaterial operieren, somit entfällt die Entnahme aus dem Gaumen. Ob das machbar ist und welcher Aufwand betrieben werden muss, hängt vom individuellen Fall ab. Sehen Sie sich ein paar Videos dazu auch gerne auf unserem YouTube-Kanal an

17/07/2025

Leistungen & Kosten

    Beliebte Leistungen

    Erstuntersuchung (Neupatient/in)

    Andere Leistungen


    Mauerstr. 8, Bielefeld

    Kostenloser Service

    Zahnarzt Dr. med. dent. Kai Zwanzig Praxis für Zahnheilkunde - Kompetenzzentrum Implantologie Bielefeld



    Mauerstr. 8, Bielefeld

    Kostenloser Service

    Zahnarzt Dr. med. dent. Kai Zwanzig Praxis für Zahnheilkunde - Kompetenzzentrum Implantologie Bielefeld



    Mauerstr. 8, Bielefeld

    Kostenloser Service

    Zahnarzt Dr. med. dent. Kai Zwanzig Praxis für Zahnheilkunde - Kompetenzzentrum Implantologie Bielefeld



    Mauerstr. 8, Bielefeld

    Mehr erfahren

    Zahnarzt Dr. med. dent. Kai Zwanzig Praxis für Zahnheilkunde - Kompetenzzentrum Implantologie Bielefeld


    Mauerstr. 8, Bielefeld

    Mehr erfahren

    Zahnarzt Dr. med. dent. Kai Zwanzig Praxis für Zahnheilkunde - Kompetenzzentrum Implantologie Bielefeld



    Mauerstr. 8, Bielefeld

    Mehr erfahren

    Zahnarzt Dr. med. dent. Kai Zwanzig Praxis für Zahnheilkunde - Kompetenzzentrum Implantologie Bielefeld



    Mauerstr. 8, Bielefeld

    Kostenloser Service

    Zahnarzt Dr. med. dent. Kai Zwanzig Praxis für Zahnheilkunde - Kompetenzzentrum Implantologie Bielefeld



    Mauerstr. 8, Bielefeld

    Mehr erfahren

    Zahnarzt Dr. med. dent. Kai Zwanzig Praxis für Zahnheilkunde - Kompetenzzentrum Implantologie Bielefeld



    Mauerstr. 8, Bielefeld

    Mehr erfahren

    Zahnarzt Dr. med. dent. Kai Zwanzig Praxis für Zahnheilkunde - Kompetenzzentrum Implantologie Bielefeld



    Mauerstr. 8, Bielefeld

    Kostenloser Service

    Zahnarzt Dr. med. dent. Kai Zwanzig Praxis für Zahnheilkunde - Kompetenzzentrum Implantologie Bielefeld



    Mauerstr. 8, Bielefeld

    Kostenloser Service

    Zahnarzt Dr. med. dent. Kai Zwanzig Praxis für Zahnheilkunde - Kompetenzzentrum Implantologie Bielefeld



    Mauerstr. 8, Bielefeld

    Kostenloser Service

    Zahnarzt Dr. med. dent. Kai Zwanzig Praxis für Zahnheilkunde - Kompetenzzentrum Implantologie Bielefeld



    Mauerstr. 8, Bielefeld

    Kostenloser Service

    Zahnarzt Dr. med. dent. Kai Zwanzig Praxis für Zahnheilkunde - Kompetenzzentrum Implantologie Bielefeld



    Mauerstr. 8, Bielefeld

    Kostenloser Service

    Zahnarzt Dr. med. dent. Kai Zwanzig Praxis für Zahnheilkunde - Kompetenzzentrum Implantologie Bielefeld



    Mauerstr. 8, Bielefeld

    Kostenloser Service

    Zahnarzt Dr. med. dent. Kai Zwanzig Praxis für Zahnheilkunde - Kompetenzzentrum Implantologie Bielefeld



    Mauerstr. 8, Bielefeld

    Kostenloser Service

    Zahnarzt Dr. med. dent. Kai Zwanzig Praxis für Zahnheilkunde - Kompetenzzentrum Implantologie Bielefeld

Veröffentlichungen

Artikel

Praxis

Zu Google Maps öffnet in einer neuen Registerkarte
Zahnarzt Dr. med. dent. Kai Zwanzig Praxis für Zahnheilkunde - Kompetenzzentrum Implantologie Bielefeld

Mauerstr. 8, Mitte, 33602 Bielefeld

Verfügbarkeit

Telefonnummer

0521 1...
0521 1...
Zu Google Maps öffnet in einer neuen Registerkarte

Erfahrungen

122 Bewertungen

Alle Bewertungen sind wichtig! Wir prüfen alle Bewertungen automatisiert oder auch manuell. Ärzte und Heilberufler können Bewertungen weder ändern noch löschen lassen. Mehr erfahren Mehr über Meinungen erfahren
  • Es war erst mein erster Termin dort, aber endlich jemand, der richtig "angreift". Ich bin zuversichtlich :-)

     • Zahnarzt Dr. med. dent. Kai Zwanzig Praxis für Zahnheilkunde - Kompetenzzentrum Implantologie Bielefeld Erstuntersuchung (Neupatient/in)  • 

  • Dr. 20 ist einfach der beste Zahnarzt in Bielefeld! Super freundlich, nimmt sich Zeit und macht perfekte Arbeit. Das ganze Team top! Die ganze Familie ist hier Kunde

     • Zahnarzt Dr. med. dent. Kai Zwanzig Praxis für Zahnheilkunde - Kompetenzzentrum Implantologie Bielefeld Oralchirurgische Behandlung  • 

  • Kann den Artzt nur empfehlen war heute da und ich sag euch einfach nur top der Mann hat Ahnung

     • Zahnarzt Dr. med. dent. Kai Zwanzig Praxis für Zahnheilkunde - Kompetenzzentrum Implantologie Bielefeld Erstuntersuchung (Neupatient/in)  • 

  • Nur weiter zu empfehlen 100% bin top zufrieden immer wieder würde dahin gehen

     • Zahnarzt Dr. med. dent. Kai Zwanzig Praxis für Zahnheilkunde - Kompetenzzentrum Implantologie Bielefeld Erstuntersuchung (Neupatient/in)  • 

  • Die Praxis ist modern eingerichtet, auch mit hochwertigen Geräten. Das Personal ist freundlich, der Arzt auch.

     • Zahnarzt Dr. med. dent. Kai Zwanzig Praxis für Zahnheilkunde - Kompetenzzentrum Implantologie Bielefeld Professionelle Zahnreinigung (Prophylaxe)  • 

  • Der man weiß was er sagt und was er tut.In seinen Worten der Zauberer von Bielefeld. Bis bald

     • Zahnarzt Dr. med. dent. Kai Zwanzig Praxis für Zahnheilkunde - Kompetenzzentrum Implantologie Bielefeld Erstuntersuchung (Neupatient/in)  • 

    Dr. med. dent. Kai Zwanzig

    Super lieb, danke. Dann geben wir mal Gas. Bis bald


  • Unsere beiden Kinder (6 und 9 Jahre) waren nach dem ersten Termin bei Dr. Zwanzig richtig begeistert.

    Nachdem wir zuvor in einer anderen Praxis leider sehr schlechte Erfahrungen gemacht hatten, war der Wechsel zu Dr. Zwanzig für uns ein echter Glücksfall. Er nimmt sich für jeden Patienten viel Zeit – man fühlt sich ernst genommen und gut aufgehoben. Die Füllungen, die Dr. Zwanzig gemacht hat, sehen hervorragend aus – und das kann ich beurteilen, denn meine Kinder haben leider schon einige. Besonders beeindruckt hat mich, dass er meiner Tochter einen Milchzahn erhalten konnte, den andere Ärzte einfach gezogen hätten.

    Auch organisatorisch läuft alles reibungslos: Termine gibt es schnell, und wir mussten nie lange warten. Das gesamte Team ist freundlich, zugewandt und professionell.

    Eine Praxis, die ich wirklich von Herzen empfehlen kann!

     • Zahnarzt Dr. med. dent. Kai Zwanzig Praxis für Zahnheilkunde - Kompetenzzentrum Implantologie Bielefeld Andere  • 

    Dr. med. dent. Kai Zwanzig

    Das freut mich, dass die beiden Kids mit einem guten Gefühl hier raus sind. Waren auch beide wirklich tapfer. Gas geben beim Zähneputzen, dann müssen wir da vielleicht nie wieder ran ;-)


  • Beginnend mit den überaus freundlichen Mitarbeitern, der entspannten Atmosphäre in der Praxis und der fachlichen Kompetenz von Dr. Zwanzig bin ich absolut begeistert von dieser Praxis.

     • Zahnarzt Dr. med. dent. Kai Zwanzig Praxis für Zahnheilkunde - Kompetenzzentrum Implantologie Bielefeld Oralchirurgische Behandlung  • 

    Dr. med. dent. Kai Zwanzig

    Danke für das tolle Feedback. Ja, hier in unserer Relax-Oase ist es schon ziemlich chillig, also manchmal ;-). Spaß beiseite, wir versuchen natürlich jedem Patienten mit Gelassenheit zu begegnen, da die Patienten oft wegen der Behandlung gestresst sind. Ist ja auch verständlich, weil wer lässt sich schon gerne vom Zahnarzt behandeln. Ein ruhiges Auftreten hilft den meisten, Ihre Angst zu verlieren und sich ganz fallen zu lassen. Schön, dass das auch offensichtlich hier geklappt hat.



  • Einer der kompetentesten Fachärzte des Landes. Moderne Ausstattung, höchste Expertise. Klare und direkte Beschreibung der Situation und Behandlungsmöglichkeiten. Kurze Wartezeiten und ein freundliches Team. Hier bleibe ich, bis er in den Ruhestand wechselt.

     • Zahnarzt Dr. med. dent. Kai Zwanzig Praxis für Zahnheilkunde - Kompetenzzentrum Implantologie Bielefeld jährliche Kontrolluntersuchung  • 

    Dr. med. dent. Kai Zwanzig

    Wow, das haut mich glatt um, vielen Dank. Dann auf die nächsten 20 Jahre hier ;-)


  • Herr Dr. Zwanzig nimmt kein Blatt vor den Mund, alles im Sinne für die Gesundheit. Andere Zahnärzte haben mich mit schiefem Kiefer und Entzündungen wieder nach Hause geschickt. Dr. Zwanzig räumt auf, im wahrsten Sinne des Wortes. Ich bin einfach nur sehr froh und glücklich so einen detailverliebten und korrekten Zahnarzt gefunden zu haben. Meinen Zähnen geht es jetzt super.

     • Zahnarzt Dr. med. dent. Kai Zwanzig Praxis für Zahnheilkunde - Kompetenzzentrum Implantologie Bielefeld Oralchirurgische Behandlung  • 

Es ist ein Fehler aufgetreten, bitte versuchen Sie es erneut

Häufig gestellte Fragen