Über mich
-
-
Top 5Juni 2022
-
Top 5Juni 2022
-
Top 10Juni 2022
Liebe Patientin lieber Patient
ich darf Sie ganz herzlich auf meinem jameda-Profil begrüßen.
Hier erfahren Sie mehr über mich und meine Tätigkeit aus Zahnarzt in der Praxis Koschdon & Ärzte in Neu-Isenburg. Ein besonderer Schwerpunkt ist für mich die Gesundheit Ihrer Zähne. Ich möchte dass Sie unbeschwert lachen können und sich mit Ihnen Zähnen wohlfühlen.
Wenn Sie Fragen zur ästhetischen Zahnheilkunde haben kommen Sie gerne jederzeit auf mich zu.
Ich freue mich auf Sie!
Ihr
Yousef Alkhouri
Meine Behandlungsschwerpunkte
Viele Menschen wünschen sich ein strahlend schönes Lächeln doch nicht immer sind die Zähne von Natur aus perfekt.
Mein Team und ich habe es uns zur Aufgabe gemacht Sie auf dem Weg zu Ihrem Traumlächeln zu unterstützen.
Besuchen Sie uns in unserer Praxis in der Robert-Koch-Str. 5 in Neu-Isenburg und lassen Sie sich ausführlich beraten.
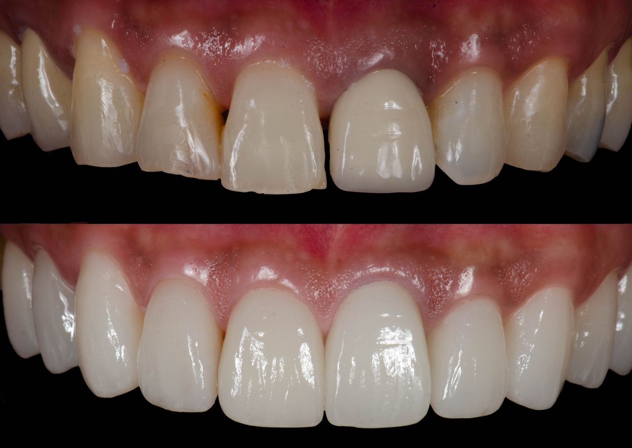
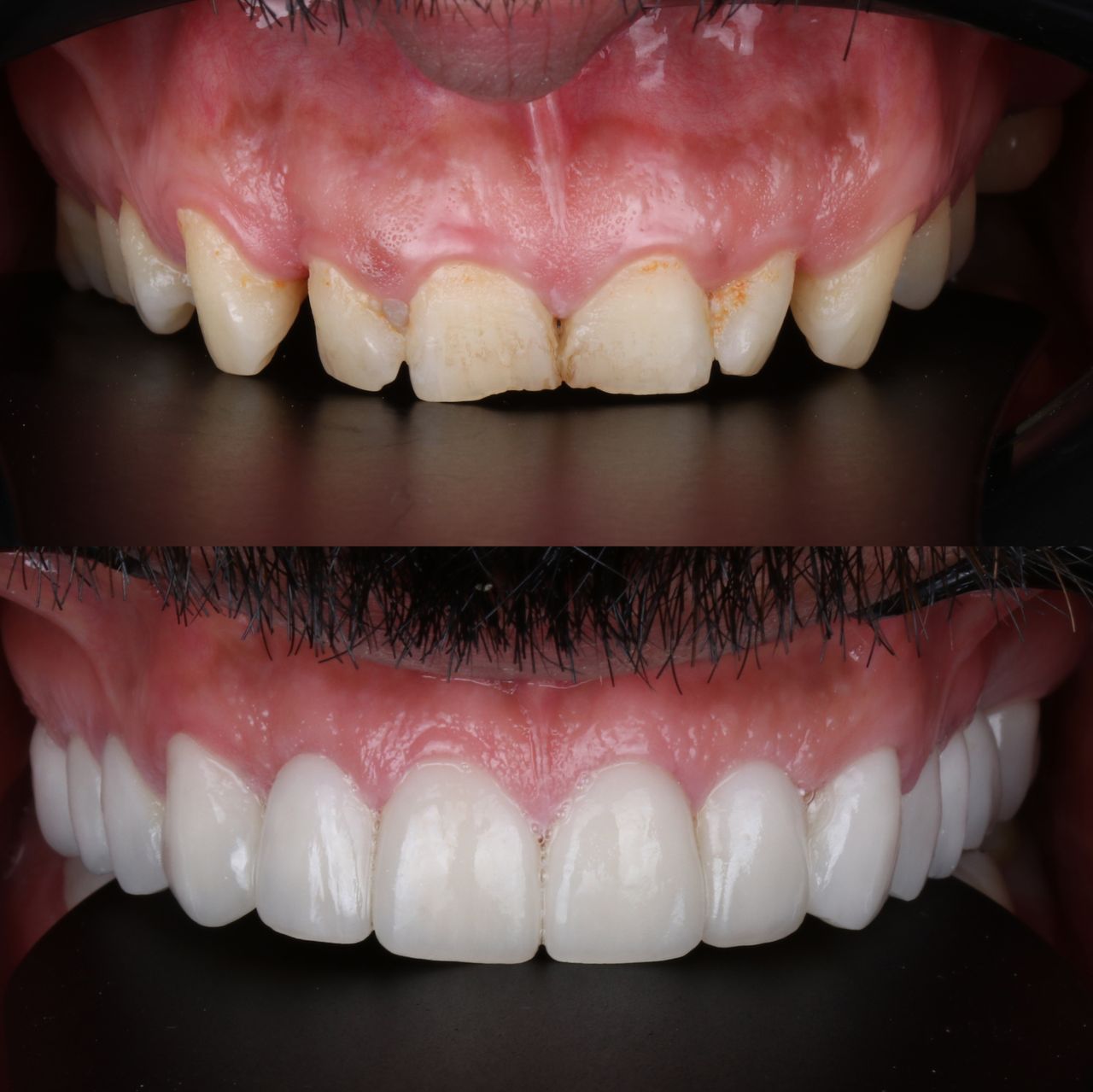
Besonders die Bereiche ästhetische Zahnheilkunde Zahnaufhellung und Keramikveneers zählen zu meinen Fachgebieten.
ästhetische Zahnheilkunde
Die ästhetische Zahnheilkunde ist ein sehr anspruchsvolles Gebiet
Makellose Zähne verändern das Erscheinungsbild eines Menschen stärker als viele andere Teile des Körpers: Zähne signalisieren Alter Gesundheit Leistungsfähigkeit und vermehrt auch den Status des Menschen. Während immer mehr Hollywoodstars zu ihren Fältchen stehen würde keiner von ihnen mit unperfekten Zähnen eine Filmrolle erhalten. Und so ist es heutzutage neben der Attraktivität auch eine Frage des beruflichen Erfolges dass man nicht nur gepflegte sondern auch makellose Zähne zeigt.
Dabei muss unbedingt beachtet werden:
- Zahngröße und -proportion müssen zur Person passen
- Lachlinie & Mittellinie sind wichtige Markierungen bei der ästhetischen Rekonstruktion
- die Rolle des Zahnfleisches ist sehr entscheidend; es kann ein Gesicht jung oder gealtert aussehen lassen
- Farbe und Transluzenz sollten exakt ausbalanciert und definiert werden
- Ästhetische Rekonstruktionen bleiben idealerweise unerkennbar
Zahnaufhellung
Wünschen Sie sich auch schöne weisse Zähne?
Schöne weiße Zähne spielen beim äußeren Erscheinungsbild eine wichtige Rolle – sie symbolisieren Gesundheit Attraktivität und Leistungsfähigkeit.
Beim Bleaching dem Aufhellen der Zähne gibt es jedoch entscheidende Unterschiede. Allem voran stehen die Ansprüche sowohl die Zahngesundheit keinesfalls zu gefährden als auch hervorragende Ergebnisse von langer Dauer zu gewährleisten. Hierbei gibt es nur eine Methode die all diese Erwartungen erfüllt.
Ein schönes Lächeln dank Zahnaufhellung
Die Ergebnisse sind hervorragend: Innerhalb einer guten Stunde wird eine durchschnittliche Aufhellung von neun Stufen erreicht die jahrelang erhalten bleibt. Eine Erfahrung die Ihr Leben verändern wird – denn Ihr neues strahlendes Lächeln wird auch Ihren Mitmenschen auffallen.
Langjährige universitäre Studien beweisen dass Zahnaufhellung weder Zahnschmelz noch Zahnfleisch angreift. Es gilt unter weltweit führenden Spezialisten als sanft und absolut sicher. Die neue strahlende Schönheit Ihrer Zähne ist also mit keinerlei Nebenwirkungen verbunden. Für weitere Informationen und Fragen stehen wir Ihnen selbstverständlich zur Verfügung.
Keramikveneers
Kleine abgebrochene Ecken? Unschöne Zahnfarbe? Leichte Zahnschief- oder Fehlstellungen unpassende Zahnformen – oder gar Lücken zwischen den Zähnen?
Dies und noch viel mehr kann durch Veneers hauchdünne Schalen aus Keramik beseitigt werden. Sie sind unter anderem auch deshalb das Geheimnis des perfekten Hollywood-Lächelns. Veneers werden – künstlichen Fingernägeln gleich – auf die leicht abgetragene Zahnoberfläche gebracht und bilden hier richtig verklebt eine untrennbare Einheit mit dem Zahn.
Der Vorteil: Die Zahnsubstanz wird nicht beschädigt. Da Veneers metallfrei sind wird nie ein dunkler Rand – wie möglicherweise bei einem Metallgerüst – sichtbar. Licht durchflutet den Zahn und wird reflektiert. Die Natur wird perfekt kopiert.
Mein weiteres Leistungsspektrum
Schöne Zähne sind nicht zu unterschätzende Faktoren für das Wohlbefinden und das selbstbewusste Auftreten eines Menschen. Glücklicherweise ist das Aussehen Ihrer Zähne nicht in Stein gemeißelt sondern kann dank bewährter und moderner Verfahren in Ihr Traumlächeln verändert werden. Mein Team und ich möchten Ihnen dabei helfen.
Weitere Informationen zu meinem gesamten Leistungsspektrum finden Sie hier auf jameda. Selbstverständlich können Sie mein Praxisteam auch telefonisch unter 06102/38487 erreichen. Es steht Ihnen für alle Fragen gerne zur Verfügung!
Kompositaufbauten
Die neue Generation der Nanotechnologie
Die neue Generation von Nanokompositen eröffnet dem Zahnarzt faszinierende bis vor kurzem noch undenkbare Möglichkeiten. Als sei es pure Zahnhartsubstanz kann der speziell fortgebildete Zahnarzt ganze Zähne hochästhetisch umformen Ecken aufbauen minimalinvasiv kariöse Defekte rekonstruieren und selbst feinste Farbanpassungen vornehmen. Und das entscheidende daran ist: Alles passiert direkt in der Praxis und in einer einzigen Sitzung.
Vollkeramik
Vollkeramik ist in der Zahnheilkunde nicht mehr wegzudenken
Keramik ist aus der ästhetischen und kosmetischen Zahnheilkunde nicht mehr wegzudenken. Sie ist absolut biokompatibel und allergiefrei sehr fest und ähnelt dem natürlichen Zahnschmelz in ihren Eigenschaften und der Optik.
Wahre keramische Meisterwerke kommen aus dem zahntechnischen Labor und sehen sehr natürlich und gleichzeitig hochästhetisch aus. Dabei ist das sogenannte Zirkonoxid eine besonders feste und gleichzeitig transluzente (lichtdurchlässige) Basis für die Schichtung hochwertiger Kronen und Brücken. Seine Eigenschaften haben der metallfreien Front- und Seitenzahnästhetik die Türen geöffnet – dunkle Kronenränder sind passe und man erreicht täuschend echte Ergebnisse – so wie es sein soll.
Zahnfleischästhetik
Plastische Parodontalchirurgie
Damit das Zahnfleisch die “richtige Kurve bekommt" nicht zu lang oder zu kurz in Relation zum Zahn wirkt um damit einen unvorteilhaften oder gar gealterten Eindruck zu hinterlassen hat die moderne kosmetische Parodontologie unterschiedliche Möglichkeiten.
Zahnfleisch kann chirurgisch gekürzt oder durch beispielsweise Gewebetransplantate verlängert werden je nach den entsprechenden Voraussetzungen. Denn wir wissen dass Zahnfleisch-Design ein wichtiges Instrument im Orchester “strahlendes Lächeln" spielt und deshalb keinesfalls zu vernachlässigen ist. Dies ist der ästhetische Aspekt neben der rein medizinisch indizierten Parodontologie wobei hier Zahnerhalt das oberste Gebot ist.
Weiterbildungen und Tätigkeitsschwerpunkte
- Ästhetische Zahnmedizin
- Endodontologie
Leistungen & Kosten
Andere Leistungen
Endodontologie
Robert-Koch-Str. 5, Neu-Isenburg
koschdon & zähne - Zahnarzt und Kieferorthopäde Neu-Isenburg
Funktionstherapie
Robert-Koch-Str. 5, Neu-Isenburg
koschdon & zähne - Zahnarzt und Kieferorthopäde Neu-Isenburg
Zahnersatz (Beratung)
Robert-Koch-Str. 5, Neu-Isenburg
koschdon & zähne - Zahnarzt und Kieferorthopäde Neu-Isenburg
Zahnersatz einsetzen
Robert-Koch-Str. 5, Neu-Isenburg
koschdon & zähne - Zahnarzt und Kieferorthopäde Neu-Isenburg
Zahnhygiene
Robert-Koch-Str. 5, Neu-Isenburg
koschdon & zähne - Zahnarzt und Kieferorthopäde Neu-Isenburg
Ästhetische Zahnmedizin
Robert-Koch-Str. 5, Neu-Isenburg
koschdon & zähne - Zahnarzt und Kieferorthopäde Neu-Isenburg
Praxis
Robert-Koch-Str. 5, 63263 Neu-Isenburg
Verfügbarkeit
Yousef Alkhouri bietet an diesem Standort über jameda keine Online-Terminbuchung an
Heutige Sprechzeiten
08:00 - 20:00Telefonnummer
Arten von akzeptierten Patienten
Erfahrungen
74 Bewertungen
-
Herr Dr. Alkhouri hat bei meiner Krone eine hervorragende Arbeit geleistet. Mit dem Endergebnis bin ich sehr zufrieden. Das gesamte Praxis Team ist zuvorkommend und freundlich.
• koschdon & zähne - Zahnarzt und Kieferorthopäde Neu-Isenburg • Zahnersatz einsetzen •
-
Hervorragender Zahnarzt, immer freundlich und zuvorkommend. Er erklärt einem alles und ist nicht negativ eingestellt, wenn man einmal eine Anwendung verschiebt.
• koschdon & zähne - Zahnarzt und Kieferorthopäde Neu-Isenburg • Zahnersatz einsetzen •
-
Herr Alkhouri hat bei meinen Implantaten und der Brücke eine hervorragende Arbeit gemacht. Mit dem Endergebnis bin ich sehr zufrieden. Das gesamte Praxis Team ist zuvorkommend und freundlich.
• koschdon & zähne - Zahnarzt und Kieferorthopäde Neu-Isenburg • Zahnersatz einsetzen •
-
Ich musste 3 Keramik-Inlays erneuern lassen. Herr Alkhoury hat sich dabei Zeit zur Erläuterung genommen und auch meine Nachfragen ausführlich beantwortet. Er war dabei freundlich und kompetent. Zudem hatte ich aufgrund eines Implantats Probleme mit Speiseresten zwischen den Zähnen. Bei 2 vorhergehenden Zahnärzten war man der Meinung, dass das "normal" sei bzw. eine Erneuerung aller Inlays erfordere. Herr Alkhouri hatte sowohl das Problem korrekt erfasst, als auch addressiert. Ich bin sehr zufrieden und kann ihn uneingeschränkt weiter empfehlen.
• koschdon & zähne - Zahnarzt und Kieferorthopäde Neu-Isenburg • Zahnersatz einsetzen •
-
Ich hatte bei Dr Alkhouri aufgrund einer wiederkehrenden Zahnfistel einen Neuaufbau meiner verkronten Zähne im Frontbereich. Die komplette Behandlung lief sehr professionell ab. Dr. Alkhouri hat einen sehr hohen Anspruch an seine Arbeit, dies sieht man im Ergebnis. Auch ein großes Lob an die Zahntechniker, die unglaublich gute Arbeit geleistet haben.
Nach 36 Jahren, in denen ich schon verkronte Zähne habe, sehe ich selber zum ersten Mal keinen Unterschied. Dr. Alkhouri macht seine Arbeit mit Leidenschaft, ist höchst professionell und nur mit einem perfekten Ergebnis zufrieden.
Vielen Dank!• koschdon & zähne - Zahnarzt und Kieferorthopäde Neu-Isenburg • Endodontologie •
-
Dr. Alkhouri ist ein hervorragender Arzt, der nicht nur mit seinem Handwerk glänzt, sondern auch außerordentlich einfühlsam ist. Ich hatte mehrere "Baustellen" an den Zähnen - Wurzelbehandlung, Zähne ziehen, drei Implantate und eine Krone. Dr. Alkhouri hat stets mit äußerster Sorgfalt, Geduld und seiner ruhigen Art dafür gesorgt, dass ich mich in jedem Moment gut aufgehoben gefühlt habe. Und das Ergebnis ist perfekt! Ich kann Dr. Yousef Alkhouri wärmstens empfehlen!
• koschdon & zähne - Zahnarzt und Kieferorthopäde Neu-Isenburg • Zahnersatz einsetzen •
-
Dr. Alkhouri ist vorbehaltlos empfehlenswert.
Es gibt keinen Besseren!• koschdon & zähne - Zahnarzt und Kieferorthopäde Neu-Isenburg • Zahnersatz einsetzen •
-
Ich kann Herrn Alkhouri nur wärmstens empfehlen - sehr kompetent, professionell und mit bemerkenswerter Liebe zum Detail.
Ich habe eine sehr lange Behandlung im Ober- und Unterkiefer hinter mir, mit einigen Wurzelbehandlungen, Kronen und Implantaten. Er hat fast das ganze Spektrum der modernen Zahnmedizin angewendet. Alles war immer zu meiner vollen Zufriedenheit.• koschdon & zähne - Zahnarzt und Kieferorthopäde Neu-Isenburg • Zahnersatz einsetzen •
-
Ich kann Herrn Dr. Alkhouri nur wärmstens empfehlen.
Er nimmt sich sehr viel Zeit für seine Patienten und ist fachlich ausgezeichnet.
Das Behandlungsergebnis war hervorragend.• koschdon & zähne - Zahnarzt und Kieferorthopäde Neu-Isenburg • Ästhetische Zahnmedizin •
-
Der Zahnarzt Herr Yousef Alkhouri hat bei mir mehrere Wurzelkanalbehandlungen mit anschließender Überkronung erfolgreich durchgeführt. Die Kronen sind passgenau und nicht als solche erkennbar.
Für zwei Implantate im Oberkiefer wurde als Vorbereitung eine "Sinus-Anhebung" zum Knochenaufbau durchgeführt und nach einiger Zeit schließlich die Kronen dazu eingepasst. Auch hier zeigte sich wieder dass Herr Alkhouri immer den Anspruch hat ein perfektes Ergebnis abzuliefern- was ihm auch gelungen ist!
Durch Herrn Alkhouri habe ich erstmals wieder Vertrauen zu einem Zahnarzt gefunden. Geduldig beantwortet er Fragen und berücksichtigt auch Befindlichkeiten. Ich bin sehr schmerzempfindlich, bei mir wirkt die "normale" Betäubung nicht wie gewohnt was ein Grund für meine lange Vermeidung von Zahnarztpraxen war - hier kein Problem.
Als Ergebnis seiner Behandlungen habe ich jetzt gesunde, gut funktionierende und gut aussehende Zähne, gerne empfehle ich den Zahnarzt Herrn Yousef Alkhouri weiter.
• koschdon & zähne - Zahnarzt und Kieferorthopäde Neu-Isenburg • Zahnersatz einsetzen •
Häufig gestellte Fragen
-
Welche Fachgebiete deckt Yousef Alkhouri ab?Yousef Alkhouri ist Zahnarzt. Wir zeigen Ihnen einige Behandlungsschwerpunkte, mit denen Yousef Alkhouri besonders viel Erfahrung hat: Zahnersatz (Beratung), Funktionstherapie, Zahnhygiene, Endodontologie, Zahnersatz einsetzen, Ästhetische Zahnmedizin.
-
Wo befindet sich die Praxis von Yousef Alkhouri?Yousef Alkhouri empfängt Patient:innen an folgenden Standorten:
- Robert-Koch-Str. 5 Neu-Isenburg
-
Kann ich bei Yousef Alkhouri Videosprechstunden wahrnehmen, ohne die Praxis zu besuchen?Tut uns leid, derzeit bietet Yousef Alkhouri keine Videosprechstunden über jameda an.
-
Wie kann ich einen Termin bei Yousef Alkhouri buchen?An diesem Standort hat Yousef Alkhouri noch keine Angaben zu verfügbaren Terminen gemacht. Wir empfehlen, Yousef Alkhouri direkt zu kontaktieren, um herauszufinden, wann freie Termine verfügbar sind.
-
Wann kann ich einen Termin bei Yousef Alkhouri wahrnehmen?Bitte kontaktieren Sie Yousef Alkhouri, um verfügbare Termine zu erfragen.
-
Welche Erfahrungen haben Patient:innen mit Yousef Alkhouri gemacht?Insgesamt 74 Patient:innen haben ein Feedback zu Yousef Alkhouri gegeben, mit einem durchschnittlichen Ergebnis von 5 Sternen (von 5).
-
Welche Form der Versicherung akzeptiert Yousef Alkhouri?Folgende Versicherungen werden von Yousef Alkhouri akzeptiert: Gesetzlich versichert, Privat versichert.