Artikel 13/06/2013

Funktion des Kreuzbandes, Ursachen des Kreuzbandrisses beim Hund

Dr. med. vet. Alexander Engelhardt Tierarzt
Dr. med. vet. Alexander Engelhardt
Tierarzt
kreuzbandriss-hund

Das vordere und hintere Kreuzband fangen unter anderem die Schubmomente im Gelenk auf, stabilisieren es und erlauben das Beugen und Strecken im Gelenk. Der Riss des vorderen Kreuzbandes beim Hund ist die häufigste Bänder- und Sehnenverletzung, sowie die Hauptursache für Arthrose im Kniegelenk. Der Kreuzbandriss ist eine der häufigsten Lahmheitsursachen der Hintergliedmaße des Hundes.

Natürlich kommen bei Hund und Katze Unfälle vor, die zu einem Kreuzbandriss führen. Beim Hund ist jedoch das Kreuzband meist vorgeschädigt, weshalb lapidare Trauma dann zum Riss führen. Oft ist der Hund lediglich über einen Graben gesprungen, oft wird sogar ohne ersichtlichen Grund plötzlich gehumpelt. Deshalb ist die diagnostische Abklärung der Ursachen und Faktoren, die wegbereitend für den Kreuzbandriss waren, von herausragender Bedeutung und trägt entscheidend zur Wahl der Operationsmethode bei.

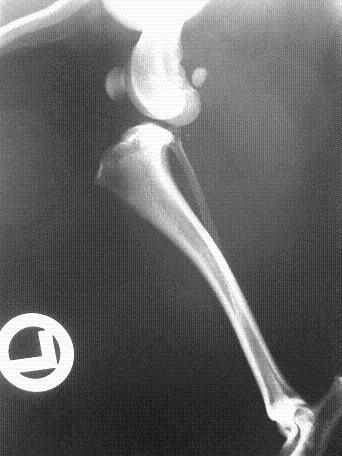
Die Röntgenaufnahme zeigt, wie die Oberschenkelgelenksfläche regelrecht hinter der des Unterschenkels positioniert ist (Dislokation). Die Gelenksfläche des Unterschenkels ist sehr steil. Nach dem Riss des vorderen Kreuzbandes wird der Gewichtskraft und Beschleunigungsenergie nichts mehr entgegengehalten. Das Ausgleiten der Oberschenkelgelenksfläche über den Meniskus verursacht meist starke Schmerzen und Lahmheit. In diesem Bild ist die Oberschenkelgelenksfläche regelrecht verlagert. Gerade bei den kleineren Hunden beobachten wir oft sehr steile Gelenksflächen. Unbehandelt sehen wir desöftern Hunde, die dieses Gelenk nicht mehr beugen können, weil die Sehnen und Bänder sich nach der Dislokation verkürzt haben.

Ursachen des Kreuzbandrisses beim Hund
Mögliche Auslöser sind:
Eine plötzliche Innenrotation bei 20-30° Vorbeugung wird als auslösend angenommen, sowie eine Überstreckung. Im Unterschied zum Menschen ist die Ruptur meist von keinem oder nur von einem Bagatelltrauma ausgelöst. Deshalb werden Vorschädigungen durch ein Mikrotrauma diskutiert:

  • Degenerative Veränderungen die auf eine Vorschädigung hinweisen wurden beobachtet.
  • Immunologische Vorgänge könnten eine Rolle spielen, Rheumafaktor, Antikollagen-Antikörper und Immunkomplexe wurden in Gelenken nach Kreuzbandriss gefunden.
  • Anatomische Besonderheiten werden als bedeutsam diskutiert
  • Ein verengter Interkondylärspalt (Spalt zwischen den Oberschenkel-Gelenk-Rollen).
  • Der anatomische Winkel des Tibia Plateaus (Gelenkfläche auf der der Oberschenkel auf dem Unterschenkel aufliegt und rotiert) sowie die Winkelung des Tibia Plateaus im Stand.

Umso stärker die Unterschenkelgelenksfläche geneigt ist, um so größer ist die Last (Gewichtskraft), die bei jeder Bewegung (Beschleunigung) auf das Kreuzband übertragen wird. Diese auf das Kreuzband übertragene Kraft wird Tibiaschub genannt.

  • Für fast jede Rasse werden Kreuzbandrisse beschrieben.
  • Prädisponierte Rassen sind Rottweiler, Neufundländer, Staffordshire Terrier, Retriever.
  • Greyhounds erkranken fast nie am Kreuzband – „Protected Breed=geschützte Rasse“.
  • Für eine Prädisposition spricht das mit 14-37% angegebene häufige beidseitige Auftreten einer Ruptur, d.h. bei mindestens 14% rupturiert das Kreuzband der anderen Seite in der Folgezeit.
  • Übergewichtige Hunde oder Hunde mit hohem Gewicht sind ebenfalls überrepräsentiert bei Vierbeinern mit Kreuzbandriss. Das Ausmaß der Vorschäden ist abhängig vom Gewicht.

Die meisten der betroffenen Hunde haben bis zum 10-ten Lebensjahr einen Kreuzbandriss. Es gibt ein gehäuftes Vorkommen bei 3-4 und 9 jährigen Hunden. Hunde großer Rassen erkranken meist vor dem neunten und die kleiner Rassen meist nach dem neunten Lebensjahr.

Bei einem Gewicht von mehr als 10kg ist immer eine operative Versorgung zu empfehlen. Patienten unter 10kg sollten ebenfalls operiert werden, um Meniskusschäden vorzubeugen und das Arthroserisiko zu minimieren. Es ist jedoch möglich, dass einige dieser Patienten unter 10kg Körpergewicht nach einiger Zeit ohne Operation laufen können. Fallbezogen sollte ein operatives Vorgehen mit dem Besitzer diskutiert werden.

Die Veröffentlichung dieser Inhalte durch jameda GmbH erfolgt mit ausdrücklicher Genehmigung der Autoren. Die Vervielfältigung, Bearbeitung, Verbreitung und jede Art der Verwertung außerhalb der Grenzen des Urheberrechtes bedürfen der schriftlichen Zustimmung der jeweiligen Autoren.

Die Inhalte der Experten Ratgeber ersetzen nicht die Konsultation von medizinischen Spezialisten. Wir empfehlen Ihnen dringend, bei Fragen zu Ihrer Gesundheit oder medizinischen Behandlung stets eine qualifizierte medizinische Fachperson zu konsultieren. Der Inhalt dieser Seite sowie die Texte, Grafiken, Bilder und sonstigen Materialien dienen ausschließlich Informationszwecken und ersetzen keine gesundheitlichen Diagnosen oder Behandlungen. Es wird ausdrücklich darauf hingewiesen, dass Meinungen, Schlussfolgerungen oder sonstige Informationen in den von Dritten verfassten Inhalten ausschließlich die Meinung des jeweiligen Autors darstellen und nicht notwendigerweise von jameda GmbH gebilligt werden. Wenn die jameda GmbH feststellt oder von anderen darauf hingewiesen wird, dass ein konkreter Inhalt eine zivil- oder strafrechtliche Verantwortlichkeit auslöst, wird sie die Inhalte prüfen und behält sich das Recht vor, diese zu entfernen. Eigene Inhalte auf unserer Website werden regelmäßig sorgfältig geprüft. Wir bemühen uns stets, unser Informationsangebot vollständig, inhaltlich richtig und aktuell anzubieten. Das Auftreten von Fehlern ist dennoch möglich, daher kann eine Garantie für die Vollständigkeit, Richtigkeit und Aktualität nicht übernommen werden. Korrekturen oder Hinweise senden Sie bitte an experten-ratgeber@jameda.de.


www.jameda.de © 2025 - Wunscharzt finden und Termin online buchen.

Diese Webseite verwendet Cookies.
Surfen Sie weiter, wenn Sie unserer Cookie-Richtlinie zustimmen.