Artikel 04/02/2014

Moderne Bestrahlungstechniken verkürzen Therapie beim Mammakarzinom

Dr. med. Hendrik Herm Strahlentherapeut
Dr. med. Hendrik Herm
Strahlentherapeut
moderne-bestrahlungstechniken-mammakarzinom

Das Mammakarzinom ist in den westlichen Industrieländern die häufigste Tumorerkrankung der Frau. Die entsprechenden Behandlungsoptionen können Operation, Chemotherapie, Antikörpertherapie, Hormontherapie und Strahlentherapie sein. Sehr oft werden diese Methoden auch kombiniert und entsprechende dem Risikoprofil, Histologie, Alter, Nebenerkrankungen usw. bei jeder Frau individuell angewendet.

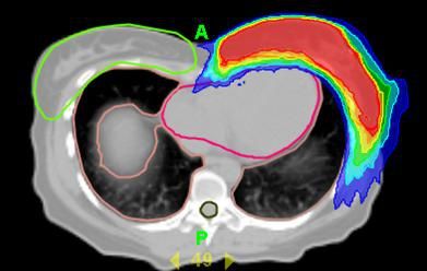
Sehr oft steht am Ende der Behandlungskette die Strahlentherapie, die zum Beispiel bei brusterhaltender Therapie angewandt wird. Bei invasivem Karzinom soll eine Bestrahlung der betroffenen Brust nach brusterhaltender Operation durchgeführt werden. Das Zielvolumen der perkutanen Nachbestrahlung soll die gesamte verbliebene Brust und die angrenzende Thoraxwand einschließen.

Die Dosis soll ca. 50 Gy bei konventioneller Fraktionierung betragen (5 x 1,8-2,0 Gy/Woche), so dass dabei 25 bis 28 Bestrahlungen erforderlich sind. Danach erfolgt sehr oft eine lokale Dosisaufsättigung (Boost-Bestrahlung) des Tumorbettes. Diese senkt die lokale Rezidivrate in der Brust noch weiter. Die Boost-Bestrahlung ist in der Regel indiziert. Die empfohlene Boost-Dosis beträgt 16 Gy in konventioneller Fraktionierung (5 x 1,8-2,0 Gy/Woche), so dass nochmals 8 weitere Bestrahlungen erfolgen, so dass sich die ganze Therapie dann etwas über 36 Behandlungstage erstreckt, also ein Zeitraum von über 7 Wochen.

Für viele Patientinnen ist dieser Zeitraum sehr lang und mitunter sehr belastend Inzwischen geht der Trend dahin, die Dauer der Strahlentherapie zu verkürzen.

Nach Empfehlung der DEGRO (der Fachgesellschaft für Strahlentherapie in Deutschland) kommt aktuell zur Verkürzung der Strahlentherapie unter anderem der simultan-integrierte Boost (SIB) in Frage. Bei diesem simultan-integrierten Boost wird die zusätzliche Bestrahlung des Tumorbettes (also dort wo der Tumor war), die bisher erst nach der Strahlentherapie der ganzen Brust erfolgte, bereits auf die einzelnen Termine bei der Strahlenbehandlung der ganzen Brust verteilt. Es wird also dieses Boostvolumen bei jeder Fraktion der Brustbestrahlung mit einer geringen zusätzlichen Dosis bestrahlt. Voraussetzung für die simultan-integrierte Boost-Technik sind moderne Bestrahlungs- und Planungstechniken. Die Gesamtbehandlungszeit beträgt fünf bis fünfeinhalb Wochen, also kann damit die Behandlungszeit um etwa 1,5 bis 2 Wochen verkürzt werden. Dabei haben die durchgeführten Studien gezeigt, dass diese Behandlungsart sicher ist, also dass nicht mit mehr Nebenwirkungen zu rechnen ist.

Die Veröffentlichung dieser Inhalte durch jameda GmbH erfolgt mit ausdrücklicher Genehmigung der Autoren. Die Vervielfältigung, Bearbeitung, Verbreitung und jede Art der Verwertung außerhalb der Grenzen des Urheberrechtes bedürfen der schriftlichen Zustimmung der jeweiligen Autoren.

Die Inhalte der Experten Ratgeber ersetzen nicht die Konsultation von medizinischen Spezialisten. Wir empfehlen Ihnen dringend, bei Fragen zu Ihrer Gesundheit oder medizinischen Behandlung stets eine qualifizierte medizinische Fachperson zu konsultieren. Der Inhalt dieser Seite sowie die Texte, Grafiken, Bilder und sonstigen Materialien dienen ausschließlich Informationszwecken und ersetzen keine gesundheitlichen Diagnosen oder Behandlungen. Es wird ausdrücklich darauf hingewiesen, dass Meinungen, Schlussfolgerungen oder sonstige Informationen in den von Dritten verfassten Inhalten ausschließlich die Meinung des jeweiligen Autors darstellen und nicht notwendigerweise von jameda GmbH gebilligt werden. Wenn die jameda GmbH feststellt oder von anderen darauf hingewiesen wird, dass ein konkreter Inhalt eine zivil- oder strafrechtliche Verantwortlichkeit auslöst, wird sie die Inhalte prüfen und behält sich das Recht vor, diese zu entfernen. Eigene Inhalte auf unserer Website werden regelmäßig sorgfältig geprüft. Wir bemühen uns stets, unser Informationsangebot vollständig, inhaltlich richtig und aktuell anzubieten. Das Auftreten von Fehlern ist dennoch möglich, daher kann eine Garantie für die Vollständigkeit, Richtigkeit und Aktualität nicht übernommen werden. Korrekturen oder Hinweise senden Sie bitte an experten-ratgeber@jameda.de.


www.jameda.de © 2025 - Wunscharzt finden und Termin online buchen.

Diese Webseite verwendet Cookies.
Surfen Sie weiter, wenn Sie unserer Cookie-Richtlinie zustimmen.