Artikel 11/05/2020

Das schmerzhafte Kniekunstgelenk: Symptome, Ursachen & Therapie

Dr. med. Julian Dexel Orthopäde & Unfallchirurg, Chirotherapeut, Sportmediziner
Dr. med. Julian Dexel
Orthopäde & Unfallchirurg, Chirotherapeut, Sportmediziner
schmerzen-kniekunstgelenk-symptome-ursache-therapi

Das Kniegelenk wird nach dem Hüftgelenk am zweithäufigsten durch ein künstliches Gelenk ersetzt. Jährlich werden in Deutschland ca. 170.000 künstliche Kniegelenke eingesetzt. Der endoprothetische Ersatz ist heute ein Routineeingriff mit dem Ziel, Schmerzen zu lindern und die Gehfähigkeit, Mobilität und Lebensqualität zu verbessern.

Bleiben die Beschwerden nach einer Knie-Endoprothese vorhanden oder entstehen Sie nach Jahren erneut, gibt es verschiedenste Ursachen dafür.

Wie häufig kommt es zu Beschwerden mit Kunstgelenkersatz?

Der Anteil der Patienten, der nach einem Kunstgelenkersatz des Kniegelenks Beschwerden beibehält oder mit dem Ergebnis der OP unzufrieden ist, ist je nach Literaturangabe mit bis zu 20 % angegeben.

Gerade diese Patienten bedürfen einer besonders hohen Aufmerksamkeit und die Beschwerden müssen ernst genommen werden. Oft sind mehrere aufwändige Untersuchungen notwendig bis die Ursache gefunden ist. Mechanische, infektiöse und funktionelle Probleme müssen hier sorgfältig voneinander getrennt werden. Eine vorschnelle Revisionsoperation sollte unbedingt vermieden werden.

Die Anzahl der Revisionsendoprothetik (Wechseloperation) am Kniegelenk ist aufgrund der steigenden Zahlen der Erstoperationen eines Kunstgelenkes, der höheren Lebenserwartung und dem steigendem Anspruch der Patienten im Alter angestiegen.

Warum gibt es aber bei Knieprothesen mehr Probleme als bei Hüften?

Die Hüfte ist anatomisch ein Kugelgelenk und besteht aus Kopf und Pfanne. Es ist einfach aufgebaut und ist auch einfach nachzubauen. Beim Kniegelenk ist das jedoch anders. Es besteht aus Gelenken zwischen dem Ober- und Unterschenkel, der Kniescheibe und dem Wadenbein.

Des Weiteren sind im Gelenk zwei Kreuzbänder, zwei Menisken, als Zwischenscheiben enthalten. Im Ganzen eine komplexe Bewegungseinheit.

Welche Symptome können vorkommen?

Der Patient mit einer schmerzhaften Knie-Endoprothese leidet unter fortbestehenden Beschwerden bei Bewegung und Belastung. Außerdem können Bewegungseinschränkungen dazukommen.

Meistens handelt es sich um funktionelle Beschwerden, d. h. die die Knie umgebenden Muskeln und Sehnen müssen sich erst an die neue Situation nach dem Kunstgelenkersatz anpassen. Bei der Operation wurde die Gelenkachse korrigiert. Dadurch hat sich die Zugrichtung der Sehnen und Muskeln etwas verändert.

Welche Ursachen kommen in Frage?

Dramatischere Ursachen sollten und müssen dennoch ausgeschlossen werden. Hierzu zählen die Infektion, Lockerung oder die Instabilität.

Eine Infektion muss bei einer schmerzhaften Knieprothese zwingend ausgeschlossen werden. Man unterscheidet eine akute und eine schleichende Infektion. Durch Bestimmung des Entzündungswertes im Blut kann man einen Anhaltspunkt erhalten. Gegebenenfalls ist auch eine Punktion der Prothese unter sterilen Bedingungen notwendig oder gar eine Operation, um Gewebe zu gewinnen und dieses dann histologisch und mikrobiologisch zu untersuchen.

Zu den mechanischen Ursachen gehören die nichtinfektiöse Lockerung der Prothese oder eine Fehlrotation der Komponenten. Eine Instabilität kann entweder seitlich auftreten oder aber auch vorne und hinten.

Eine tief liegende Kniescheibe, die durch ein Tiefertreten der Gelenklinie auftreten kann, kann mit einer eingeschränkten Beweglichkeit insbesondere im Beugen einhergehen. Eine überdimensionierte Prothese kann den Anpressdruck der Kniescheibe erhöhen und dadurch einen vorderen Knieschmerz auslösen.

Des Weiteren kommen noch folgende Möglichkeiten als Ursache in Betracht:

  • Arthrofibrose – krankhafte Veränderung von Bindegewebszellen in einem Gelenk mit schmerzafter Bewegungseinschränkung.
  • Neurogene Ursachen können auch eine Rolle spielen. Hierzu gehören Neurome, eine Hyperinnervation oder auch das CRPS – das komplexe regionale Schmerzsyndrom – eine chronische neurologische Erkrankung.
  • Psychosomatische bzw. psychische Ursachen können ebenfalls eine Rolle spielen. In Betracht zu ziehen sind bei fehlenden körperlichen Ursachen eine somatoforme Schmerzstörung und ein chronifiziertes Schmerzsyndrom.
  • Sehnenreizungen können nach einer Knie-TEP-Implantation auftreten. Hierbei insbesondere im Bereich des Tractus-iliotibialis-Ansatzes am Tb. Gerdy, am Ansatz der Oberschenkelbeuger am „Gänsefüßchen“ auf der Innenseite des Tibiakopfes. Die Sehnen, die das Kniegelenk in Streckung bringen, können ebenso an mehreren Stellen gereizt sein.
  • Erkrankungen der Hüfte, Wirbelsäule oder auch Gefäßerkrankungen (Durchblutungsstörungen) können ebenfalls Schmerzen verursachen, die sich auf das Kniegelenk projizieren.

Welche Untersuchungen werden gemacht um die Ursache zu finden?

Notwendig ist eine ausführliche Anamnese und eine körperliche Untersuchung in Bezug auf

  • Stabilität
  • Bewegungsausmaß
  • Schmerzpunkte
  • Patella-Lauf
  • Erguss
  • Lokalbefund

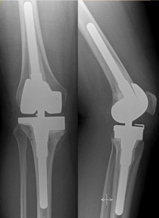
Anschließend wird eine Röntgenuntersuchung durchgeführt inklusive einer Patella-Aufnahme und einer Ganzbeinaufnahme, um die Achse des Beines vermessen zu können.

Eine Infektion sollte durch eine Laboruntersuchung ausgeschlossen werden. Bei erhöhten Entzündungsparametern kann ggf. eine Punktion unter sterilen Bedingungen notwendig werden. Bei unklarem Befund kann in Einzelfällen Gewebe arthroskopisch entnommen werden, um einen schleichenden Infekt auszuschließen.

Ergänzend kann eine Computertomographie durchgeführt werden, um die Implantat-Position bestimmen zu können und Hinweise auf eine Lockerung zu erhalten. Eine Knochenszintigraphie kann ebenfalls Hinweise auf eine Lockerung geben.

Sollten jedoch nach ausgiebiger Untersuchung orthopädisch und interdisziplinär (durch andere Fachgebiete) keine Ursache gefunden werden, wird zunächst konservativ behandelt und eine Kontrolluntersuchung vereinbart.

Patienten, bei denen keine Ursache gefunden werden kann, haben im Zeitverlauf eine gute Prognose. Nach zwei Jahren haben die Hälfte dieser Patienten ein zufriedenstellendes Ergebnis.

So läuft die Therapie ab

Die Therapie der funktionellen Beschwerden ist konservativ. Durch gezielte Physiotherapie zur Kräftigung der Oberschenkelmuskulatur und durch angepasste Schmerztherapie kann eine Linderung erreicht werden. Ergänzungen finden Orthesen oder Tape-Verbände.

Eine Revisionsoperation sollte nur bei einer klaren Indikation erfolgen. Im Falle einer Ursache die durch eine erneute Operation verändert und verbessert werden kann (z. B. Lockerung), ist eine Revisionsoperation medizinisch gerechtfertigt. Hier kann je nach Ursache z. B. nur ein Teil des Kunstgelenkes ausgetauscht oder das Gelenk komplett gewechselt werden.

Diese Operationen sollten an einem spezialisiertem Endoprothesen-Zentrum von einem erfahrenen Operateur vorgenommen werden. Für die Revisionsoperation sollten neben den „Ersatzteilen“ der implantierten Prothese auch die Möglichkeit bestehen, auf ein Revisionsimplantat umsteigen zu können, um allen Eventualitäten gerecht zu werden.

Zusammenfassung

Mechanische Ursachen

  • Aseptische (nicht infektiös bedingte) Lockerung
  • Fehlrotation der Komponenten
  • Varus- oder Valgus-Instabilität
  • Verschiebung der Gelenklinie
  • Überdimensionierte Prothese
  • Defektes hinteres Kreuzband
  • Vermehrter Druck hinter der Kniescheibe
  • Schwäche der Oberschenkelmuskulatur

Nichtmechanische Ursachen

  • (Low grade) Infekt (schleichende Vereiterung)
  • Arthrofibrose (krankhafte Veränderung von Bindegewebszellen mit eingeschränkter Beweglichkeit)
  • Hoffa Impingement (Einklemmung des Hoffa-Fettkörpers)
  • Patella-Clunk-Syndrom (fibröser Knoten oberhalb der Patella – Weichteil-Impingement)
  • Allergie
  • Stressfraktur (Knochenbruch)
  • Gelenkinnenhautentzündung
  • Erkrankungen aus dem rheumatologischen Formenkreis
  • Sehnenreizungen
  • Tb. Gerdyi – Ansatz außen unterhalb des Kniegelenks
  • „Gänsefüßchen“ – Sehnen auf der Innenseite unterhalb des Kniegelenks
  • Kniescheibenspitze

Neurogene Ursachen

  • Neurome – Wucherung von Nervenzellen
  • Hyperinnervation – verstärktes Vorhandensein von Nervenzellen
  • CRPS – komplexes regionales Schmerzsyndrom – chronische neurologische Erkrankung

Psychische Ursachen

  • Somatoforme Schmerzstörung – unklare körperliche Beschwerden
  • Chronifiziertes Schmerzsyndrom

Die Veröffentlichung dieser Inhalte durch jameda GmbH erfolgt mit ausdrücklicher Genehmigung der Autoren. Die Vervielfältigung, Bearbeitung, Verbreitung und jede Art der Verwertung außerhalb der Grenzen des Urheberrechtes bedürfen der schriftlichen Zustimmung der jeweiligen Autoren.

Die Inhalte der Experten Ratgeber ersetzen nicht die Konsultation von medizinischen Spezialisten. Wir empfehlen Ihnen dringend, bei Fragen zu Ihrer Gesundheit oder medizinischen Behandlung stets eine qualifizierte medizinische Fachperson zu konsultieren. Der Inhalt dieser Seite sowie die Texte, Grafiken, Bilder und sonstigen Materialien dienen ausschließlich Informationszwecken und ersetzen keine gesundheitlichen Diagnosen oder Behandlungen. Es wird ausdrücklich darauf hingewiesen, dass Meinungen, Schlussfolgerungen oder sonstige Informationen in den von Dritten verfassten Inhalten ausschließlich die Meinung des jeweiligen Autors darstellen und nicht notwendigerweise von jameda GmbH gebilligt werden. Wenn die jameda GmbH feststellt oder von anderen darauf hingewiesen wird, dass ein konkreter Inhalt eine zivil- oder strafrechtliche Verantwortlichkeit auslöst, wird sie die Inhalte prüfen und behält sich das Recht vor, diese zu entfernen. Eigene Inhalte auf unserer Website werden regelmäßig sorgfältig geprüft. Wir bemühen uns stets, unser Informationsangebot vollständig, inhaltlich richtig und aktuell anzubieten. Das Auftreten von Fehlern ist dennoch möglich, daher kann eine Garantie für die Vollständigkeit, Richtigkeit und Aktualität nicht übernommen werden. Korrekturen oder Hinweise senden Sie bitte an experten-ratgeber@jameda.de.


www.jameda.de © 2025 - Wunscharzt finden und Termin online buchen.

Diese Webseite verwendet Cookies.
Surfen Sie weiter, wenn Sie unserer Cookie-Richtlinie zustimmen.