Dr. med. dent.
Nils Elger Siems
Zahnarzt
·
Mehr
über Spezialisierungen
Königstein im Taunus 1 Adresse
Über mich
-
15Akademische Ausbildung
-
-
Top 5Juni 2022
-
Top 5Juni 2022
-
Top 5Juni 2022
-
Top 10Juni 2022
-
Top 20Juni 2022
Herzlich willkommen auf meinem jameda-Profil!
Es freut mich sehr dass Sie sich Zeit nehmen sich über das breit gefächerte Leistungsspektrum meiner Praxis zu informieren.
Schöne und gesunde Zähne bedeuten nicht nur eine bessere Lebensqualität sondern tragen auch zu einer positiven Ausstrahlung und einem starken Selbstbewusstsein bei.
Gerne berate ich Sie zu allen zahnmedizinischen Fragen sowie zu implantologischen Eingriffen.
Ich freue mich auf Ihren Besuch!
Ihr Dr. med. dent. Nils Elger Siems
Praxisphilosophie
Ihr gesundes Lächeln ist unser Ziel. Betrachtet man ein Lächeln aber nicht nur vom ästhetischen Aspekt aus sondern auch als Ausdruck einer gesunden Seele kommt der lateinische Ausspruch „anima sana in corpore sano“ (lat.: ein gesunder Geist in einem gesunden Körper) in den Sinn. Unsere Anstrengungen dürfen sich also nicht allein auf den äußeren Anschein Ihres Lächelns richten.
Die Komplexität unseres Körpers erfordert dabei den Blick über die Mundhöhle hinaus. Denn erkrankte Zähne können sich als sogenannte Herde ebenso auf weitere Bereiche unseres Organismus auswirken wie umgekehrt erkrankte Organe negativ auf die Mundhöhle. Eine stets ganzheitliche Betrachtung Ihrer Gesundheit ist daher für uns selbstverständlich.
Zum Erreichen dieses Ziels wird nach gründlicher Untersuchung und Anamnese zusammen mit Ihnen ein umfassendes Konzept ausgearbeitet welches alle Aspekte oraler Gesundheit berücksichtigt. Dazu nutzen wir auch die enge Kooperation mit weiteren Spezialisten um Ihnen in jedem Fall die bestmögliche Versorgung zu gewährleisten.
Meine Behandlungsschwerpunkte
Gesunde Zähne bedeuten Lebensqualität!
Ich freue mich Ihnen nachfolgend die Behandlungsschwerpunkte aufzulisten auf die sich mein Team und ich spezialisiert haben. Für Rückfragen sind wir natürlich gerne persönlich oder telefonisch für Sie da.
Implantologie
Mit Implantaten können fehlende Zähne heute vollständig ersetzt werden. Ein Implantat stellt dabei die künstliche Zahnwurzel dar. Diese künstliche Wurzel kann dann eine Zahnkrone tragen oder auch eine Prothese stabilisieren. Die Schädigung von Nachbarzähnen zum Schließen einer Lücke ist so zu vermeiden. Bis auf sehr wenige Ausnahmen sind Implantate heute für jeden möglich. Der Eingriff ist oft minimal invasiv möglich. Auch bei zu geringem Knochenangebot kann heute sehr schonend Knochen aufgebaut werden. Bereits durch entsprechende Behandlung des Zahnfaches bei einer Zahnentfernung minimieren wir die Notwendigkeit von Knochenaufbauten. Implantate weisen bereits rein statistisch eine sehr hohe Erfolgsrate auf. Durch eine sehr detaillierte Therapieplanung minimieren wir Risikofaktoren noch weiter um größtmögliche Therapiesicherheit für Sie zu erzielen.
Parodontologie
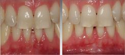
Parodontose (syn. Parodontitis) beschreibt die Entzündung und den Rückgang des zahnumgebenden Gewebes verursacht durch Bakterien im Zahnbelag. Unbehandelt schreitet sie voran und kann über die Blutbahn auch weitere Organe schädigen und zu Zahnlockerung und -verlust führen. Da Parodontose nicht weh tut wird sie häufig zu spät erkannt und behandelt. Die Untersuchung auf Parodontose bzw. auf Risikofaktoren für deren Entstehung ist für uns selbstverständlicher Bestandteil der Routineuntersuchung. Die Behandlung ist heute sehr schonend und meist sogar ohne chirurgischen Eingriff möglich. Verloren gegangenes Gewebe kann aber leider nur sehr begrenzt regeneriert werden. Daher ist professionelle Prophylaxe zur Vorbeugung als auch zur stetigen Nachsorge bei Parodontose unerlässlich. So ist es uns heute möglich die Zähne auch im stark vorgeschädigten Gebiss sehr dauerhaft zu erhalten.
Ästhetik
Zähne sind wesentlicher Bestandteil unserer ästhetischen Ausstrahlung. Gesunde schöne Zähne gelten auch seit jeher als Symbol für Gesundheit und werden heute zunehmend als Schlüssel zu gesellschaftlichem Erfolg angesehen. Die ästhetische Wirkung setzt sich aus der Stellung der Form und natürlich der Farbe zusammen. Dabei ist das individuelle Zusammenspiel mit vielerlei Komponenten wie dem Zahnfleischverlauf der Mund- und Gesichtsform oder Ihrem Hauttyp zu berücksichtigen. Daher ist es unser Anliegen Ihnen bei Behandlungsbedarf eine auf Sie abgestimmte Verbesserung der Frontzahnästhetik anzubieten. Häufig führt bereits der Austausch alter verfärbter Füllungen durch hochästhetische zahnschonende Composite-Materialien (sog. Kunststofffüllungen) zu einer verblüffenden Verbesserung. Sollten doch umfangreichere Maßnahmen notwendig sein können wir Ihnen zusammen mit unseren zahntechnischen Partnern absolut natürliche Keramik-Restaurationen (Veneers Kronen) anbieten. Selbst Änderungen der Zahnstellung durch Kieferorthopädie sind im Erwachsenenalter heute möglich; zum Beispiel mitunsichtbaren Zahnspangen.
Mein weiteres Leistungsspektrum
Die moderne Zahnheilkunde bietet heute ein breites Spektrum unterschiedlicher Möglichkeiten. Einige davon finden Sie nachfolgend aufgelistet. Gemeinsam mit Ihnen wählt unser Team die optimale Lösung für Ihre individuelle \"Zahnsituation\" aus. Bei weiteren Fragen können Sie sich gerne an uns wenden.
Prophylaxe
Wissenschaftliche Studien belegen bereits seit fast 30 Jahren dass es durch systematische Prophylaxe zu nachweislich geringerem Verlust von Zahnsubstanz kommt. (u.a. Axelsson P Lindhe J. J Clin Periodontol. 1981). Diese individuelle Prophylaxe umfasst neben der Schaffung hygienefreundlicher ästhetischer Verhältnisse durch professionelle Reinigung Ihrer Zähne die ebenso wichtige individuelle Beratung für Ihre Dentalhygiene und Prophylaxe zu Hause. An diese Initialphase welche mehrere Sitzungen umfassen kann schließt sich die Erhaltungs- Phase (Recall) mit professioneller Zahnreinigung und Vorsorgeuntersuchung an. Empfohlen werden dazu halbjährliche Recalltermine. Durch diese intensive Pflege und Kontrolle im Recall durch die Prophylaxe-Mitarbeiterin und den Zahnarzt (Vier-Augen-Prinzip) werden auftretende Probleme frühzeitig erkannt. Schmerzen und kostenintensive Folgebehandlungen können so häufig vermieden werden.
Zahnfüllungen
Wir verzichten vollständig auf die Verwendung von Amalgam. Es kommen in der Regel Composite-Materialien zum Einsatz. Letztere werden umgangssprachlich häufig als Kunststoff bezeichnet obwohl der Anteil an Keramikpartikeln ca. 80% beträgt. Durch den dauerhaften Verbund des Composites mit der Zahnsubstanz ist eine äußerst Substanz-schonende Vorgehensweise möglich. Kleinere Defekte können so sehr dauerhaft behoben werden. Bei größeren Defekten dient dieser Composite-Aufbau als hochwertiges Provisorium und stabiles Fundament für Restaurationen aus Keramik oder Gold. Um die Karies vollständig und dabei schonend zu entfernen ist die Verwendung einer Lupenbrille und einer speziellen Anfärbelösung für kariöse Zahnsubstanz (Kariesdetektor) für uns selbstverständlich. Die Isolierung Ihrer Zähne gegenüber der Mundhöhle mit einem individuell gelochten Gummituch (Kofferdam) dient zum Schutz vor Verschlucken von entfernten Amalgampartikeln und sichert die Verarbeitungsqualität speichelempfindlicher Materialien.
Wurzelkanalbehandlung
Unter Endodontie versteht man die Erhaltung eines Zahnes mit abgestorbenem oder entzündetem Zahnnerv. Die Bezeichnung „Wurzelbehandlung“ ist insofern irreführend da nur die Wurzelkanäle innerhalb des Zahnes behandelt werden. Dieses Wurzelkanalsystem ist äußerst komplex und filigran. Die Säuberung Aufbereitung und bakteriendichte Abfüllung der meist im unteren Wurzelbereich nicht einmal haaresdicken Kanäle erfordert besondere Sorgfalt und ein aufwändiges Instrumentarium. Hilfsmittel wie spezielle Vergrößerungssysteme Isolation mit einem individuell gelochten Gummituch (Kofferdam) sowie hochflexible Instrumente und elektrische Zahnlängenmessung (Endometrie) sind unserer Meinung nach unerlässlich zur Sicherung eines dauerhaften Zahnerhaltes ohne anhaltende Entzündung im umgebenden Knochen (sog. beherdete Zähne).
Amalgansanierung
Das Entfernen von Amalgamfüllungen erfordert besondere Sorgfalt da gerade bei dem Herausbohren die Belastung mit dem gesundheitlich bedenklichen Quecksilber hoch sein kann. Die Entfernung sollte daher möglichst unter Isolierung der amalgamgefüllten Zähne gegenüber der Mundhöhle mit einem individuell gelochten Gummituch (Kofferdam) und unter Verwendung spezieller Bohrer (Vermeidung von Dämpfen) durchgeführt werden. Alternativen zu Amalgam finden Sie unter Zahnfüllungen bzw.Restaurationen. Zur Ausleitung des aus den Füllungen über Jahre im Körper aufgenommenen Quecksilbers bieten wir Ihnen anschließend auf Wunsch eine unspezifische Schwermetallausleitung mit Vitamin C und Zink an. Bei Verdacht auf chronische Vergiftungssymptome bieten wir Ihnen die Kooperation mit spezialisierten Therapeuten für weiterführende Ausleitungen an.
Restaurationen
Die vollständige funktionelle Rekonstruktion verloren gegangener Zahnsubstanz ist mit direkten Füllungsmethoden verfahrensbedingt kaum möglich. Durch die Verwendung individueller laborgefertigter Inlays Teilkronen und Kronen aus Keramik oder Gold wird unter maximaler Schonung der Zahnsubstanz eine ästhetische und funktionelle Rekonstruktion auch stark zerstörter Zähne erreicht. Ausschlaggebend für die Qualität und damit Langlebigkeit der Restaurationen ist neben genauer Diagnostik und Planung die Präzision aller Arbeitsschritte von der Präparation der Zähne über die Labor-Arbeitsschritte bis zur Eingliederung der Restaurationen. Wir arbeiten daher ausschließlich mit Lupenbrille und übergeben die Modelle Ihrer Zähne erst nach exakter Justierung mittels der durch Kiefervermessung ermittelten Parameter in einem Kiefergelenkssimulator an unsere Meisterlaboratorien.
Funktionsanalyse
Wenn unsere Zähne nicht richtig auf einander passen kann dies zu vielfältigen Problemen führen (sog. CMD-Problematik). Über weit verzweigte Muskelketten können verspannte Kaumuskeln Auswirkungen auf die Rücken- oder gar die Beckenmuskulatur haben. Mögliche Folgen sind sowohl Zahnschmerzen als auch Verspannungen Kopfschmerzen Ohrgeräusche uvm. Die Funktionsanalyse umfasst u.a. die Ermittlung der Kieferpositionen in Relation zu einander und zum Kiefergelenk. Diese Messdaten dienen dazu Modelle Ihrer Kiefer in einen individuell programmierten Kau-Simulator (fachl. Artikulator) einzusetzen. Dieser Artikulator hilft Störungen zu ermitteln. Bei Bedarf arbeiten wir auch mit weiteren Therapeuten wie Osteopathen und Physiotherapeuten zusammen um für Sie eine umfassende Behandlung geschädigter Muskulatur zu erreichen. Bei der Gestaltung neuen Zahnersatzes ist die oben erwähnte Vermessung und Simulation ein ganz wichtiger Bestandteil um natürlich funktionierende Zähne zu schaffen.
Kinderzahnheilkunde
Der Grundstein für eine gesunde Mundhöhle wird bereits sehr früh gelegt. Daher liegen uns Kinder besonders am Herzen. Für die Behandlung unserer Kleinen gelten andere Schwerpunkte als in der Erwachsenentherapie: Kinder sind für uns nicht einfach kleine Erwachsene. Besonders wichtig ist es uns dass Kinder den Zahnarztbesuch vollkommen angstfrei erleben. Dazu können Sie als Eltern ganz entscheidend mitwirken. Gern beraten wir Sie daher schon in der Schwangerschaft wie einfach es ist Ihrem Kind ein Leben mit gesunden Zähnen in einer intakten Mundhöhle zu ermöglichen. Unsere Empfehlung ist es Kinder möglichst frühzeitig über die individuelle Prophylaxe an den Zahnarztbesuch heran zu führen statt mit dem ersten - vermeidbaren - Loch beginnen zu müssen.
Zahntechnik
In der Zahntechnik arbeiten wir ausschließlich mit uns persönlich bekannten Meisterlaboratorien zusammen. Eine hochwertige zahntechnische Arbeit kann nach unserem Verständnis nur bei sehr enger Kooperation zwischen Zahnarzt und Zahntechniker entstehen. Für ästhetisch besonders anspruchsvolle Rekonstruktionen analysiert der verantwortliche Zahntechniker direkt mit Ihnen zusammen die individuellen Parameter. Nur so ist ein Maximum an Ästhetik und Natürlichkeit zu erreichen.
Weiterbildungen und Tätigkeitsschwerpunkte
- Parodontologie
- Implantologie
- Ästhetische Zahnmedizin
- Zahnärztliche Schlafmedizin
Hauptsächlich behandelte Krankheiten
- Kiefergelenkbeschwerden
- Zahnfleischentzündung
- Entzündung am Implantat
- Parodontitis
- Kreidezähne (MIH)
- +4 a11y_sr_more_diseases
Konsultationsformate
Fotos und Videos
Leistungen & Kosten
Beliebte Leistungen
Erstuntersuchung (Neupatient/in)
Kirchstr. 7, Königstein im Taunus
Dr. Siems & Kollegen
Andere Leistungen
Behandlung von Zahnfleischproblemen
Kirchstr. 7, Königstein im Taunus
Dr. Siems & Kollegen
Bleaching - Zahnaufhellung (Beratung)
Kirchstr. 7, Königstein im Taunus
Dr. Siems & Kollegen
Implantologie
Kirchstr. 7, Königstein im Taunus
Dr. Siems & Kollegen
Kinderzahnmedizin
Kirchstr. 7, Königstein im Taunus
Dr. Siems & Kollegen
Parodontitis (Beratung)
Kirchstr. 7, Königstein im Taunus
Dr. Siems & Kollegen
Professionelle Zahnreinigung (Prophylaxe)
Kirchstr. 7, Königstein im Taunus
Dr. Siems & Kollegen
Professionelle Zahnreinigung und Routine-Kontrolle
Unsichtbare Zahnspange (Beratung)
Kirchstr. 7, Königstein im Taunus
Dr. Siems & Kollegen
Wurzelbehandlung (Endodontie)
Kirchstr. 7, Königstein im Taunus
Dr. Siems & Kollegen
Zahnvorsorge
Kirchstr. 7, Königstein im Taunus
Dr. Siems & Kollegen
Ästhetische Zahnmedizin
Kirchstr. 7, Königstein im Taunus
Dr. Siems & Kollegen
Veröffentlichungen
Praxis
Kirchstr. 7, Königstein Im Taunus, 61462 Königstein im Taunus
Verfügbarkeit
Heutige Sprechzeiten
08:15 - 14:00Telefonnummer
Arten von akzeptierten Patienten
Erfahrungen
111 Bewertungen
Am häufigsten von Patienten erwähnt
- Engagement während des Termins
- Ausführliche Erklärung
- Pünktlichkeit
-
Seit Jahren die ganze Familie ist bei Dr. Siems zufrieden. Alle Mitarbeiter sind sehr freundlich. Dr Siems ist genau und zuverlässig.
• Dr. Siems & Kollegen • Professionelle Zahnreinigung (Prophylaxe) •
-
Um es abzukürzen: Von A - Z alles perfekt ! Freundliches Personal gepaart mit Kompetenz und Fachwissen.
• Dr. Siems & Kollegen • Professionelle Zahnreinigung (Prophylaxe) •
-
Ich bin seit längerer Zeit Patient bei Dr. Siems und fühle mich dort jederzeit sehr gut aufgehoben. Die Behandlungen werden verständlich erklärt, sorgfältig durchgeführt und verlaufen stets angenehm. Das gesamte Praxisteam ist freundlich, gut organisiert und sorgt für eine entspannte Atmosphäre. Ich kann die Praxis uneingeschränkt weiterempfehlen.
• Dr. Siems & Kollegen • Professionelle Zahnreinigung (Prophylaxe) •
-
Top professionelle Zahnreinigung! Sehr gründlich, trotzdem angenehm. Freundliches Team und eine entspannte Atmosphäre. Das Ergebnis überzeugt sofort – komme definitiv wieder.
• Dr. Siems & Kollegen • Professionelle Zahnreinigung (Prophylaxe) •
-
Seit vielen Jahren werde ich zahnärztlich von Herrn Dr. Siems bestens betreut.
Er erkennt sehr schnell, wo Probleme entstehen können und klärt über adäquate Behandlungsmöglichkeiten auf.
Als langjähriger Schnarcher habe ich mich vertrauensvoll an ihn gewandt.
Er analysierte mein Gebiss und scannte die Situation.
Herausgekommen ist eine perfekt eingestellte Schnarch-Schiene.
Ich bekomme jetzt nachts genügend Luft und habe keine Atemaussetzer mehr.
Ich kann jetzt durchschlafen.
Dadurch ist meine Lebensqualität deutlich verbessert worden.
Vielen Dank für die große Hilfe.
• Dr. Siems & Kollegen • Andere •
-
Sehr freundliches Personal, gründliche und sorgfältige Behandlung, kompetenter Arzt, angenehme und saubere Raumatmosphäre
• Dr. Siems & Kollegen • Professionelle Zahnreinigung (Prophylaxe) •
-
Ich bin Zahntechnikerin und habe mich bewusst für Herrn Dr. Siems entschieden. Weil ich informiert war über sein Qualitätsbewusst Sein.
Er hat eine perfekte Präparation hingelegt. :-) Und alle Abläufe waren routiniert und sauber. Ich bin absolut höchst zufrieden. Auch der Zahntechniker hat erstklassig gearbeitet. Vielen Dank an die Praxis.• Dr. Siems & Kollegen • Ästhetische Zahnmedizin •
-
Ich bin seit vielen Jahren Patientin bei Dr. Siems und könnte mir keinen besseren Zahnarzt wünschen. Die Kombination aus absoluter Professionalität, fachlicher Exzellenz und einem feinen ästhetischen Gespür macht ihn einzigartig. Besonders im Frontzahnbereich, wo es wirklich auf jedes Detail ankommt, arbeitet er mit einer Präzision und Sorgfalt, die beeindruckt – das Ergebnis wirkt stets natürlich und harmonisch.
Auch die Zahnreinigung in der Praxis ist absolut empfehlenswert: gründlich, sanft und mit einem Ergebnis, das man sofort spürt und sieht. Ich fühle mich jedes Mal bestens aufgehoben, ernst genommen und rundum professionell betreut.
Ein Zahnarzt, der wirklich Vertrauen schafft und durch seine Arbeit überzeugt – klare Empfehlung!• Dr. Siems & Kollegen • Ästhetische Zahnmedizin •
-
Sehr kompetent und freundlich.
Ich fühle mich rundum gut betreut.• Dr. Siems & Kollegen • Professionelle Zahnreinigung (Prophylaxe) •
-
I like how the treatment went. Doctor described in details what we will do. Advised on options.
• Dr. Siems & Kollegen • Erstuntersuchung (Neupatient/in) •
Häufig gestellte Fragen
-
Welche Fachgebiete deckt Dr. med. dent. Nils Elger Siems ab?Dr. med. dent. Nils Elger Siems ist Zahnarzt. Wir zeigen Ihnen einige Behandlungsschwerpunkte, mit denen Dr. med. dent. Nils Elger Siems besonders viel Erfahrung hat: Ästhetische Zahnmedizin, Wurzelbehandlung (Endodontie), Kinderzahnmedizin, Implantologie, Parodontitis (Beratung), Bleaching - Zahnaufhellung (Beratung), Unsichtbare Zahnspange (Beratung), Behandlung von Zahnfleischproblemen, Zahnvorsorge, Erstuntersuchung (Neupatient/in).
-
Wo befindet sich die Praxis von Dr. med. dent. Nils Elger Siems?Dr. med. dent. Nils Elger Siems empfängt Patient:innen an folgenden Standorten:
- Kirchstr. 7 Königstein im Taunus
-
Kann ich bei Dr. med. dent. Nils Elger Siems Videosprechstunden wahrnehmen, ohne die Praxis zu besuchen?Tut uns leid, derzeit bietet Dr. med. dent. Nils Elger Siems keine Videosprechstunden über jameda an.
-
Welche Sprachen spricht Dr. med. dent. Nils Elger Siems?Sie können sich mit Dr. med. dent. Nils Elger Siems auf Deutsch (Deutsch), Englisch (English) unterhalten.
-
Wie kann ich einen Termin bei Dr. med. dent. Nils Elger Siems buchen?Der Online-Terminkalender von Dr. med. dent. Nils Elger Siems auf jameda wird in Echtzeit aktualisiert. Wählen Sie unter den verfügbaren Terminen einfach den Tag und die Uhrzeit, die Ihnen am besten passen. Die Buchung ist kostenfrei. Wir schicken Ihnen eine Erinnerung vor Ihrem Termin.
-
Wann kann ich einen Termin bei Dr. med. dent. Nils Elger Siems wahrnehmen?Manchmal hat Dr. med. dent. Nils Elger Siems einige verfügbare Termine in der aktuellen oder kommenden Woche. Werfen Sie einen Blick in den Online-Terminkalender, um den nächsten verfügbaren Termin zu finden, der automatisch in Echtzeit aktualisiert wird. Falls dieser Termin nicht passend ist, können Sie nach anderen Optionen suchen. Die Buchung erfolgt sofort und ist kostenlos für Sie.
-
Welche Erfahrungen haben Patient:innen mit Dr. med. dent. Nils Elger Siems gemacht?Insgesamt 111 Patient:innen haben ein Feedback zu Dr. med. dent. Nils Elger Siems gegeben, mit einem durchschnittlichen Ergebnis von 5 Sternen (von 5).
-
Welche Form der Versicherung akzeptiert Dr. med. dent. Nils Elger Siems?Folgende Versicherungen werden von Dr. med. dent. Nils Elger Siems akzeptiert: Gesetzlich versichert, Privat versichert.