Artikel 15/06/2013

Behandlungsmöglichkeiten freiliegender Zahnhälse

Dr. med. dent. Nils Elger Siems Zahnarzt
Dr. med. dent. Nils Elger Siems
Zahnarzt
freiliegende-zahnhaelse-behandlung

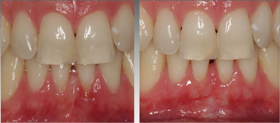
Freiliegende Zahnhälse haben unterschiedliche Ursachen. In der Regel ist es kein entzündlicher Verlust von Zahnfleisch, sondern das Zusammenspiel aus anatomischen Begebenheiten, funktionellen Aspekten sowie Putzgewohnheiten. Die Gewebeschicht über der Zahnwurzel ist in diesen Fällen meist sehr dünn, teilweise fehlt eine knöcherne Grundlage. Dadurch wird der Geweberückgang, die Rezession, begünstigt. Sind die freiliegenden Wurzelflächen sehr empfindlich, spricht das für zusätzliche schädliche Einflüsse wie funktionelle Überlastungen (Knirschen, Pressen) oder falsche Zahnputztechniken.

Folgen der freigelegten Wurzelflächen sind neben Schmerzempfindlichkeit die verstärkte Abnutzung der weniger resistenten Wurzeloberflächen. Bei den großen Backenzähnen kann es ggf. zur Freilegung der empfindlichen Wurzelteilungsstelle kommen. Die dadurch entstehenden Nischen sind schwer zu reinigen und neigen daher zu Karies und Parodontose. Sind diese Komplikationen erst eingetreten, verschlechtert sich die Prognose für eine Abdeckung der Wurzeloberflächen, die sog. Rezessionsdeckung. Die Behandlung solcher Wurzelflächen hat daher auch eine wichtige prophylaktische Bedeutung. Grundsätzlich gilt wie in vielen Fällen: je früher eine Behandlung durchgeführt wird, desto besser sind die Chancen für eine optimale Heilung.

Die freiliegenden Wurzelflächen können meist wieder mit Zahnfleisch abgedeckt werden. Dies ist sehr viel natürlicher als eine Abdeckung mit Füllungen, deren Halt und Randdichtigkeit oft problematisch sind. Füllungen können auch nicht das Voranschreiten des Zahnfleischrückgangs verhindern, da sie die Gewebesituation nicht verbessern, also nur kurzfristig rein symptomatisch wirken.

Die Abdeckung ist in den allermeisten Fällen durch mikrochirurgische Verfahren ohne sichtbare Narben möglich. Zur parallel nötigen Gewebeverdickung hat sich der Gaumen als ideales Spenderareal bewährt. Ersatzmaterialien (meist tierischen Ursprungs) zeigen bis dato keine vergleichbaren Ergebnisse. Bei entsprechender Nachsorge der Entnahmestelle am Gaumen ist die Komplikationsrate jedoch äußerst gering. Die Gewebeverdickung verbessert die langfristige Prognose jedoch entscheidend. Für einen solchen Eingriff ist eine normale örtliche Betäubung wie auch bei Füllungen o.ä. Maßnahmen völlig ausreichend.

Ob eine solche Maßnahme auch bei Ihnen möglich ist, besprechen Sie am besten individuell mit Ihrem Zahnarzt.

Die Veröffentlichung dieser Inhalte durch jameda GmbH erfolgt mit ausdrücklicher Genehmigung der Autoren. Die Vervielfältigung, Bearbeitung, Verbreitung und jede Art der Verwertung außerhalb der Grenzen des Urheberrechtes bedürfen der schriftlichen Zustimmung der jeweiligen Autoren.

Die Inhalte der Experten Ratgeber ersetzen nicht die Konsultation von medizinischen Spezialisten. Wir empfehlen Ihnen dringend, bei Fragen zu Ihrer Gesundheit oder medizinischen Behandlung stets eine qualifizierte medizinische Fachperson zu konsultieren. Der Inhalt dieser Seite sowie die Texte, Grafiken, Bilder und sonstigen Materialien dienen ausschließlich Informationszwecken und ersetzen keine gesundheitlichen Diagnosen oder Behandlungen. Es wird ausdrücklich darauf hingewiesen, dass Meinungen, Schlussfolgerungen oder sonstige Informationen in den von Dritten verfassten Inhalten ausschließlich die Meinung des jeweiligen Autors darstellen und nicht notwendigerweise von jameda GmbH gebilligt werden. Wenn die jameda GmbH feststellt oder von anderen darauf hingewiesen wird, dass ein konkreter Inhalt eine zivil- oder strafrechtliche Verantwortlichkeit auslöst, wird sie die Inhalte prüfen und behält sich das Recht vor, diese zu entfernen. Eigene Inhalte auf unserer Website werden regelmäßig sorgfältig geprüft. Wir bemühen uns stets, unser Informationsangebot vollständig, inhaltlich richtig und aktuell anzubieten. Das Auftreten von Fehlern ist dennoch möglich, daher kann eine Garantie für die Vollständigkeit, Richtigkeit und Aktualität nicht übernommen werden. Korrekturen oder Hinweise senden Sie bitte an experten-ratgeber@jameda.de.


www.jameda.de © 2025 - Wunscharzt finden und Termin online buchen.

Diese Webseite verwendet Cookies.
Surfen Sie weiter, wenn Sie unserer Cookie-Richtlinie zustimmen.