Artikel 21/06/2010

Wurzelbehandlung - oftmals der letzte Ausweg vor dem Zahnziehen

Team jameda
Team jameda
wurzelbehandlung-wurzelspitzenresektion

Mit Leidenschaft und Begeisterung läßt sich Außergewöhnliches erreichen. Wurzelbehandlungen sind oft der letzte Weg, stark angegriffene Zähne zu erhalten. Diese Behandlungen stellen die “hohe Schule” einer Zahnbehandlung dar. Engste Eingänge in den Zahn, starke Krümmungen und/oder Verkalkungen in der Wurzel erfordern ein spezielles Instrumentarium und auch viel Erfahrung um eine kompromisslose sog. Aufbereitung durchzuführen.

Das Reinigen der Wurzel muss unbedingt bis zur Wurzelspitze erfolgen. Dieses wird nach Abschluss der Behandlung mit einem Röngtenbild überprüft. Zu kurze oder auch zu lange Wurzelfüllungen müssen wieder entfernt und auf die passende Länge gebracht werden.

Die sog. Endodontologen, also Zahnärzte die sich auf Wurzelbehandlungen spezialisiert haben, verwenden neben dem üblichen Standardinstrumentarium aufwendige Spezialinstrumente aus besonderen Metalllegierungen um die optimale Reinigung des Wurzelkanals zu gewährleisten. Weiterhin wird der Zahn durch häufiges Spülen mit desinfizierenden Flüssigkeiten intensiv gereinigt. Immer öfter kommt auch ein OP-Mikroskop zum Einsatz um die Reinigung des Wurzelkanals zu optimieren. Aufwendige Wurzelbehandlungen haben heutzutage eine Erfolgswahrscheinlichkeit von 95% bei einer Erstbehandlung.

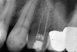
Die erste Aufnahme zeigt eine gute, aber leider nicht erfolgreiche Wurzelbehandlung. 2 Jahre nach Abschluss der Behandlung bereitete der Zahn wieder starke Schmerzen. Die Behandlungsmöglichkeiten waren dann: Zahn entfernen, eine chirurgischen Wurzelspitzenresektion vornehmen zu lassen oder die Wurzelbehandlung durch einen Spezialisten erneuern zu lassen. Die zweite Aufnahme zeigt den gleichen Zahn nach Abschluss der zweiten Wurzelbehandlung, einer sog. Revision. Der Zahn ist seit der Neubehandlung beschwerdefrei.

Zu sehen ist die unterschiedliche Dicke der Wurzelfüllung (der weiße Strich im Zahn) und die unterschiedliche Länge der Wurzelfüllung; nach der erneuten Behandlung ist der Wurzelfüllung länger und folgt dem Verlauf des Wurzelkanals an der Wurzelspitze in einer Kurve.

Moderne Wurzelbehandlungen ermöglichen einen langfristigen Zahnerhalt. “Mit den eigenen Zähnen kaut es sich am besten!”

Die Veröffentlichung dieser Inhalte durch jameda GmbH erfolgt mit ausdrücklicher Genehmigung der Autoren. Die Vervielfältigung, Bearbeitung, Verbreitung und jede Art der Verwertung außerhalb der Grenzen des Urheberrechtes bedürfen der schriftlichen Zustimmung der jeweiligen Autoren.

Die Inhalte der Experten Ratgeber ersetzen nicht die Konsultation von medizinischen Spezialisten. Wir empfehlen Ihnen dringend, bei Fragen zu Ihrer Gesundheit oder medizinischen Behandlung stets eine qualifizierte medizinische Fachperson zu konsultieren. Der Inhalt dieser Seite sowie die Texte, Grafiken, Bilder und sonstigen Materialien dienen ausschließlich Informationszwecken und ersetzen keine gesundheitlichen Diagnosen oder Behandlungen. Es wird ausdrücklich darauf hingewiesen, dass Meinungen, Schlussfolgerungen oder sonstige Informationen in den von Dritten verfassten Inhalten ausschließlich die Meinung des jeweiligen Autors darstellen und nicht notwendigerweise von jameda GmbH gebilligt werden. Wenn die jameda GmbH feststellt oder von anderen darauf hingewiesen wird, dass ein konkreter Inhalt eine zivil- oder strafrechtliche Verantwortlichkeit auslöst, wird sie die Inhalte prüfen und behält sich das Recht vor, diese zu entfernen. Eigene Inhalte auf unserer Website werden regelmäßig sorgfältig geprüft. Wir bemühen uns stets, unser Informationsangebot vollständig, inhaltlich richtig und aktuell anzubieten. Das Auftreten von Fehlern ist dennoch möglich, daher kann eine Garantie für die Vollständigkeit, Richtigkeit und Aktualität nicht übernommen werden. Korrekturen oder Hinweise senden Sie bitte an experten-ratgeber@jameda.de.


www.jameda.de © 2025 - Wunscharzt finden und Termin online buchen.

Diese Webseite verwendet Cookies.
Surfen Sie weiter, wenn Sie unserer Cookie-Richtlinie zustimmen.