Artikel 02/04/2014

Das Einzelzahnimplantat

Dr. med. dent. Andreas Kurrek Zahnarzt
Dr. med. dent. Andreas Kurrek
Zahnarzt
einzelzahnimplantat

Zahnverlust ist stets ein unangenehmes Erlebnis für jeden Patienten und tritt oft schneller ein als es einem lieb ist.

Was ist zu tun, wenn ein einzelner Zahn nun fehlt?
Geht ein einzelner Zahn in Folge einer erfolglosen Wurzelbehandlung oder Wurzelspitzenresektion (WSR), Zahnfraktur, parodontaler Erkrankung (Parodontitis) oder gar durch einen Unfall verloren, stellt sich sofort die Frage der Nachversorgung zum Schluss der entstandenen Lücke, um die Kaufunktion und Ästhetik des betreffenden Bereiches wiederherzustellen. Besonders bei traumatischem Zahnverlust in Folge z.B. eines Sportunfalls zeigt sich zumeist, dass die umgebenden Nachbarzähne noch völlig intakt und nicht behandlungsbedürftig sind. Idealer Weise lässt sich diese Situation heutzutage mit modernen Zahnimplantaten kosmetisch und funktionell optimal zum Erhalt der Lebensqualität versorgen, ohne die Nachbarzähne abzuschleifen.

Was sind die Vorteile von Einzelzahnimplantaten?
Gerade beim Ersatz einzelner Zähne zeigen sich die wesentlichen Vorteile der Versorgung durch ein Zahnimplantat, da hierdurch nur die Wurzel des verlorenen Zahnes ersetzt und danach mit Hilfe einer kosmetisch ansprechenden Zahnkrone nachversorgt wird.

Die wesentlichen Vorteile gegenüber einer alternativen Brücke sind somit:

  • kein Abschleifen gesunder Nachbarzähne als Brückenpfeiler,
  • langfristiger Knochenabbau wird verhindert,
  • der Kieferknochen wird physiologisch belastet durch eine gleichmäßige Verteilung der Kaukräfte.

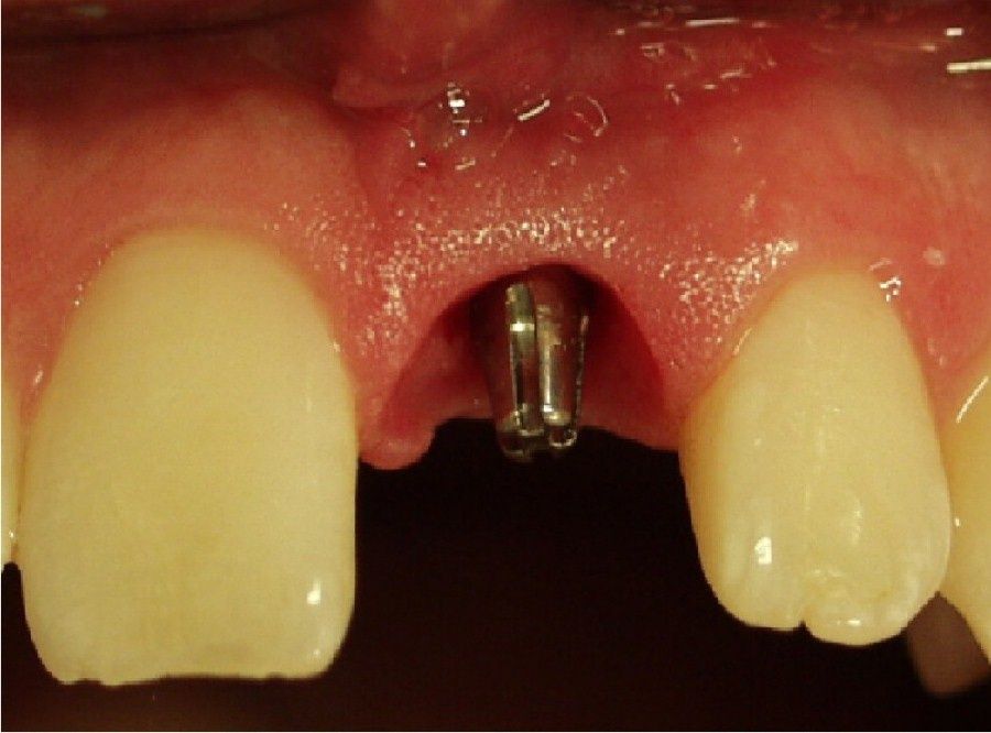
Was ist ein Einzelzahnimplantat und wie setzt es sich zusammen?
Bei einer Versorgung mittels Einzelzahnimplantat handelt es sich um festsitzenden Zahnersatz, d.h. dass es eine nicht herausnehmbare Verbindung zwischen Zahnimplantat und Zahnkrone gibt. Diese kann nur durch den Zahnarzt gelöst werden. Hierzu bieten sich zwei unterschiedliche zahntechnische Varianten an.

  • Die zahntechnisch gefertigte Krone wird mit Hilfe einer Zentralverschraubung durch den Implantataufbau (Abutment) mit dem Implantat fest verbunden. Der sich hieraus ergebende Zugang im Kronenbereich wird darauf kosmetisch mittels Composite oder Keramik verschlossen.
  • Die Zahnkrone wird direkt auf dem Implantataufbau zementiert/verklebt. Diese Methode hat sich in den letzten Jahren immer mehr durchgesetzt.

Was ist bei Implantaten im Frontzahnbereich zu beachten?
Gerade im Frontzahnbereich steht die Kosmetik des Zahnersatzes stets im Vordergrund. Hierzu ist es entscheidend, dass der Übergang zwischen Zahnimplantat und Zahnkrone nicht sichtbar ist, um einen dunklen Streifen am Zahnfleischsaum zu vermeiden. Ebenso sollte der Implantataufbau nicht „dunkel durch das Zahnfleisch“ scheinen. Dies kann mit Hilfe von keramischen Materialien vermieden werden. In letzter Zeit haben sich zudem auch Abutments aus dem extrem harten Hochleistungskunststoff PEEK als hilfreich erwiesen, da dieser Werkstoff eine weiße Farbe besitzt.

Was ist bei Implantaten im Seitenzahnbereich zu beachten?
Im Seitenzahnbereich treten sehr hohe Kaukräfte auf, so dass hier in erster Linie Belastbarkeit und Hygienefähigkeit im Vordergrund einer Planung stehen. Durchmesserreduzierte Implantate unter 3,75mm Durchmesser sind für den Ersatz von Backenzähnen ungeeignet, da es unter Kaulast zum Bruch des Implantats oder der Befestigungsschraube kommen kann.

Fazit:
Zahnimplantate stellen gerade in der Indikation des Einzelzahnverlustes eine zeitgemäße und hochwertige Behandlungsmethode zur kosmetisch-funktionellen Versorgung dar, um Nachbarstrukturen und Zähne zu schonen.

Die Veröffentlichung dieser Inhalte durch jameda GmbH erfolgt mit ausdrücklicher Genehmigung der Autoren. Die Vervielfältigung, Bearbeitung, Verbreitung und jede Art der Verwertung außerhalb der Grenzen des Urheberrechtes bedürfen der schriftlichen Zustimmung der jeweiligen Autoren.

Die Inhalte der Experten Ratgeber ersetzen nicht die Konsultation von medizinischen Spezialisten. Wir empfehlen Ihnen dringend, bei Fragen zu Ihrer Gesundheit oder medizinischen Behandlung stets eine qualifizierte medizinische Fachperson zu konsultieren. Der Inhalt dieser Seite sowie die Texte, Grafiken, Bilder und sonstigen Materialien dienen ausschließlich Informationszwecken und ersetzen keine gesundheitlichen Diagnosen oder Behandlungen. Es wird ausdrücklich darauf hingewiesen, dass Meinungen, Schlussfolgerungen oder sonstige Informationen in den von Dritten verfassten Inhalten ausschließlich die Meinung des jeweiligen Autors darstellen und nicht notwendigerweise von jameda GmbH gebilligt werden. Wenn die jameda GmbH feststellt oder von anderen darauf hingewiesen wird, dass ein konkreter Inhalt eine zivil- oder strafrechtliche Verantwortlichkeit auslöst, wird sie die Inhalte prüfen und behält sich das Recht vor, diese zu entfernen. Eigene Inhalte auf unserer Website werden regelmäßig sorgfältig geprüft. Wir bemühen uns stets, unser Informationsangebot vollständig, inhaltlich richtig und aktuell anzubieten. Das Auftreten von Fehlern ist dennoch möglich, daher kann eine Garantie für die Vollständigkeit, Richtigkeit und Aktualität nicht übernommen werden. Korrekturen oder Hinweise senden Sie bitte an experten-ratgeber@jameda.de.


www.jameda.de © 2025 - Wunscharzt finden und Termin online buchen.

Diese Webseite verwendet Cookies.
Surfen Sie weiter, wenn Sie unserer Cookie-Richtlinie zustimmen.