Artikel 06/07/2020

Gesundheitliche Folgen des Rauchens: Hypnose & Yagertherapie können helfen

Team jameda
Team jameda
yagercode-und-hypnose-polonium-210-und-cadmiumbelastung-senken

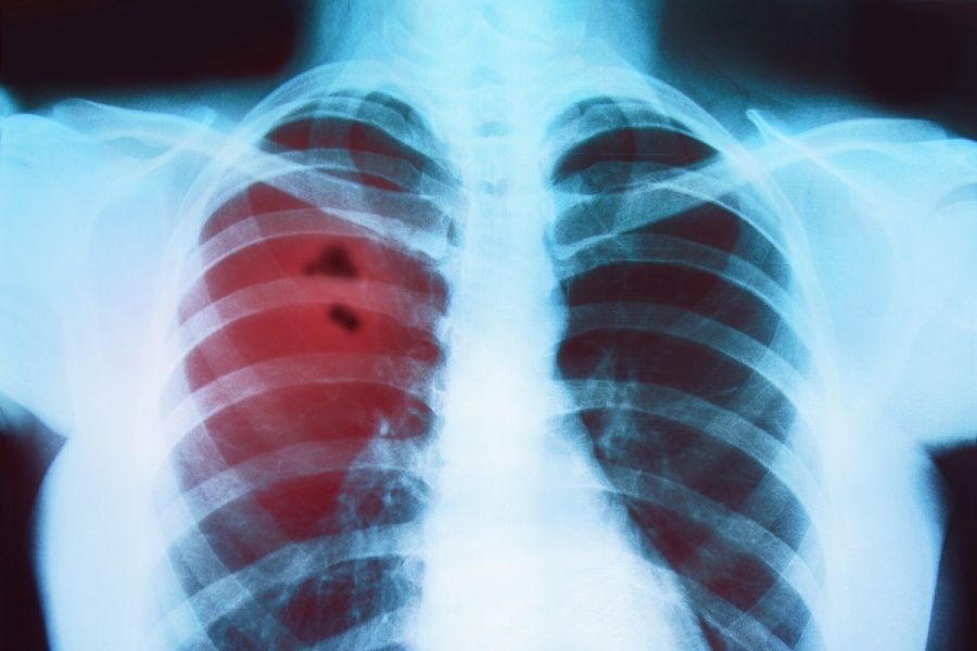
Tabakrauch besteht aus knapp 5000 verschiedenen chemischen Substanzen. Etwa 90 Stoffe sind krebserregend oder stehen im Verdacht, kanzerogen zu sein. Dazu gehören Nitrosamine, polyzyklische aromatische Kohlenwasserstoffe, Polonium-210 und Benzol.

Welche Reaktionen können Inhaltsstoffe von Zigaretten auslösen?

Das radioaktive Element Polonium-210 ist in der Tabakpflanze enthalten. Über ein Jahr hinweg entsprechen 20 bis 40 Zigaretten pro Tag 250 mal Lungenröntgen. Das Metall Cadmium wird nicht nur als Halbleiter in Handyakkus verwendet, auch die Tabakpflanze ist ein absoluter Cadmiumsammler.

Die organschädlichen Konzentrationen durchs Rauchen schädigen Knochen und Nieren, da diese bis zu 30 Jahre im Körper verweilen. Die Cadmiumbelastung verdoppelt sich im Gegensatz zum Nichtraucher und begünstigt Krebs.

Das unsichtbare geruchlose Gas Kohlenmonoxid kennt jeder von Autoabgasen. Dieses Atemgift entsteht durch die Tabakverbrennung und gelangt über die Lunge ins Blut. Dort verdrängt es den Sauerstoff durch die 200 mal stärkere Bindung an die roten Blutkörperchen.

Infolge wird das Gewebe mit Sauerstoff unterversorgt. Das Herz schlägt schneller, der Blutdruck steigt, was wiederum zu degenerativen Gefäßerkrankungen, Herzinfarkt oder Schlaganfall führen kann. Auch kalte Hände und Füße sind eine Folge.

Freie Radikale als Verbrennungsprodukt vermindern nicht nur die natürliche Schutzfunktion des Körpers, sie schädigen auch die Atemorgane und rufen Arteriosklerose hervor.

Zigarettenrauch als Ursache von Krebs

Der Zigarettenrauch schädigt die DNA dort, wo er direkt mit Gewebe in Kontakt tritt, also beispielsweise im Mund- und Lungenbereich. Krebserregende Substanzen verändern die DNA und lassen die Zellteilung aus dem Ruder laufen. Diese krebserregende Stoffe können aber auch im Körper zirkulieren und anderswo zu Tumoren führen.

Daher haben Raucher nicht nur ein besonders hohes Risiko an Lungen-, Kehlkopf-, Speiseröhren- und Mundhöhlenkrebs zu erkranken. Auch COPD (derzeit vierthäufigste Todesursache), Erektionsstörungen, altersbedingte Makula-Degeneration (eingeschränktes Sehfeld) sowie Tuberkulose stehen auf der Liste.

Ebenso gibt es einen Zusammenhang mit Leukämie sowie Bauchspeicheldrüsen-, Nieren-, Harnblasen- und Gebärmutterhalskrebs.

Sind E-Zigaretten die gesündere Alternative?

Die E-Zigarette verbrennt keinen Tabak, stattdessen wird eine Art nikotinhaltiger Dampf eingeatmet. Die Flüssigkeiten in den E-Zigaretten enthalten jedoch auch giftige Zusätze mit krebserzeugendem Potenzial.

In der Regel werden dabei mehr krebserzeugende Aldehyde freigesetzt als bei Tabakzigaretten.

Welche Verbindung besteht zwischen Rauchen und Diabetes?

Bei Menschen mit bereits bestehendem Diabetes Typ 1 oder Typ 2 erhöht der Konsum von Tabak die Wahrscheinlichkeit für zusätzliche Folgeerkrankungen. Der bei Diabetes erhöhte Blutzuckerspiegel schädigt die Blutgefäße ebenso wie das Rauchen. Die Gefahr, einen Herzinfarkt oder einen Schlaganfall zu erleiden, nimmt auch hier deutlich zu.

Rauchen kann umgekehrt die Entstehung von Diabetes begünstigen. Ebenso hat Passivrauchen einen negativen Einfluss auf die Entwicklung und den Verlauf einer Diabetes-Erkrankung oder man erkrankt auch häufiger an Diabetes als ein rauchfrei lebender Mensch.

Welche Statistiken existieren zu Rauchern?

Im Jahr 2013 starben nach Angaben im „Tabakatlas Deutschland 2015“ 121.000 Menschen an den Folgen des Rauchens. Demnach sind 25 bis 30% aller Krebstodesfälle (58.758 Menschen nach Angaben der Bundeszentrale für gesundheitliche Aufklärung (BZgA) auf das Rauchen zurückzuführen.

Männliche Raucher haben beispielsweise ein 20- bis 30-mal so hohes Risiko, an Lungenkrebs zu erkranken wie Nichtraucher, wie das Deutsche Krebsforschungszentrum in Heidelberg (DKFZ) schreibt. Bei rauchenden Frauen sei das Risiko 9-mal so hoch wie bei Nichtraucherinnen.

So können Heilpraktiker für Psychotherapie helfen, mit dem Rauchen aufzuhören

Rauchen verursacht demnach nicht nur - wie viele annehmen - tödlichen Lungenkrebs. Rauchen ist grundsätzlich die häufigste vermeidbare Todesursache. Deshalb ist der konsequente Rauchstopp in jedem Falle eine wichtige Maßnahme, um genannte Erkrankungen aktiv zu verhindern.

Rauchen ist mehr als eine gesellschaftliche Leidenschaft, die mehr Leiden schafft - es ist schlichtweg eine Sucht. Einer Sucht kann jeder nur konsequent begegnen.

Der Heilpraktiker für Psychotherapie hilft Ihnen in drei Sitzungen mittels Hypnose und Yagertherapie gezielt gegen Ihr Rauchproblem. Rauchfrei werden wollen ist hierbei die wichtigste Voraussetzung. So bleiben Sie morgen auch noch gesund und vital.

Die Veröffentlichung dieser Inhalte durch jameda GmbH erfolgt mit ausdrücklicher Genehmigung der Autoren. Die Vervielfältigung, Bearbeitung, Verbreitung und jede Art der Verwertung außerhalb der Grenzen des Urheberrechtes bedürfen der schriftlichen Zustimmung der jeweiligen Autoren.

Die Inhalte der Experten Ratgeber ersetzen nicht die Konsultation von medizinischen Spezialisten. Wir empfehlen Ihnen dringend, bei Fragen zu Ihrer Gesundheit oder medizinischen Behandlung stets eine qualifizierte medizinische Fachperson zu konsultieren. Der Inhalt dieser Seite sowie die Texte, Grafiken, Bilder und sonstigen Materialien dienen ausschließlich Informationszwecken und ersetzen keine gesundheitlichen Diagnosen oder Behandlungen. Es wird ausdrücklich darauf hingewiesen, dass Meinungen, Schlussfolgerungen oder sonstige Informationen in den von Dritten verfassten Inhalten ausschließlich die Meinung des jeweiligen Autors darstellen und nicht notwendigerweise von jameda GmbH gebilligt werden. Wenn die jameda GmbH feststellt oder von anderen darauf hingewiesen wird, dass ein konkreter Inhalt eine zivil- oder strafrechtliche Verantwortlichkeit auslöst, wird sie die Inhalte prüfen und behält sich das Recht vor, diese zu entfernen. Eigene Inhalte auf unserer Website werden regelmäßig sorgfältig geprüft. Wir bemühen uns stets, unser Informationsangebot vollständig, inhaltlich richtig und aktuell anzubieten. Das Auftreten von Fehlern ist dennoch möglich, daher kann eine Garantie für die Vollständigkeit, Richtigkeit und Aktualität nicht übernommen werden. Korrekturen oder Hinweise senden Sie bitte an experten-ratgeber@jameda.de.


www.jameda.de © 2025 - Wunscharzt finden und Termin online buchen.

Diese Webseite verwendet Cookies.
Surfen Sie weiter, wenn Sie unserer Cookie-Richtlinie zustimmen.